• Tel: 858.663.9055
  • SeparatorEmail: info@nsjbio.com
  • Tel: 858.663.9055
  • Email: info@nsjbio.com
Home >> Antibodies >> HSPA8 Antibody / HSC70

HSPA8 Antibody / HSC70 [clone 3B6] (RQ5656)

  Catalog No Formulation Size Price (USD)  
Image RQ5656 0.5mg/ml if reconstituted with 0.2ml sterile DI water 100 ug 439
Bulk quote request
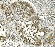
IHC staining of FFPE metastatic human rectal cancer in lymph node with HSPA8 antibody. HIER: boil tissue sections in pH8 EDTA for 20 min and allow to cool before testing.
IHC staining of FFPE metastatic human rectal cancer in lymph node with HSPA8 antibody. HIER: boil tissue sections in pH8 EDTA for 20 min and allow to cool before testing.
IHC staining of FFPE human tonsil with HSPA8 antibody. HIER: boil tissue sections in pH8 EDTA for 20 min and allow to cool before testing.
IHC staining of FFPE human lung cancer with HSPA8 antibody. HIER: boil tissue sections in pH8 EDTA for 20 min and allow to cool before testing.
IHC staining of FFPE rat spleen with HSPA8 antibody. HIER: boil tissue sections in pH8 EDTA for 20 min and allow to cool before testing.
Immunofluorescent staining of FFPE human A549 cells with GNB1 antibody (red) and DAPI nuclear stain (blue). HIER: steam section in pH6 citrate buffer for 20 min.
Western blot testing of human 1) HeLa, 2) HEK293, 3) Jurkat, 4) A549, 5) HL-60, 6) rat PC-12, 7) mouse RAW264.7 and 8) mouse NIH 3T3 lysate with HSPA8 antibody. Expected molecular weight: 70-73 kDa.
Flow cytometry testing of human K562 cells with HSPA8 antibody at 1ug/million cells (blocked with goat sera); Red=cells alone, Green=isotype control, Blue= HSPA8 antibody.
Flow cytometry testing of human A549 cells with HSPA8 antibody at 1ug/million cells (blocked with goat sera); Red=cells alone, Green=isotype control, Blue= HSPA8 antibody.
Flow cytometry testing of mouse HEPA1-6 cells with HSPA8 antibody at 1ug/million cells (blocked with goat sera); Red=cells alone, Green=isotype control, Blue= HSPA8 antibody.
Availability 1-3 business days
Species Reactivity Human, Mouse, Rat
Format Antigen affinity purified
Clonality Monoclonal
Isotype Mouse IgG2b
Clone Name 3B6
Purity Affinity purified
Buffer Lyophilized from 1X PBS with 2% Trehalose and 0.025% sodium azide
UniProt P11142
Applications Western Blot : 0.5-1ug/ml
Immunohistochemistry : 1-2ug/ml
Immunofluorescence : 2-4ug/ml
Flow Cytometry : 1-3ug/million cells
Limitations This HSPA8 antibody is available for research use only.
Review this product on BioCompare and get a $20 Amazon gift card

Related Products

  • Applications : WB
    Reactivity : Human, Mouse, Rat
    Rab Mono Image
  • Applications : WB, IHC-P, IHC-F, ICC, IF, FACS
    Reactivity : Human, Mouse, Rat
  • Applications : WB, IHC-P
    Reactivity : Human, Mouse, Rat
  • Applications : WB, IF/ICC, ELISA (peptide)
    Reactivity : Human, Mouse
    Pred. Reactivity : Rat, Dog
  • Applications : WB, IHC-P, IF, IP, FACS
    Reactivity : Human, Mouse, Rat
  • Applications : WB, FACS, IF, IHC-P
    Reactivity : Human, Mouse, Rat
  • Applications : WB, FACS, IHC-P, IF
    Reactivity : Human, Mouse, Rat
  • Applications : WB, IHC-P
    Reactivity : Zebrafish

Description

HSPA8 (heat shock 70kDa protein 8) also known as HSC70, HSC71, HSP73, HSPA10, FORMERLY, LAP1 or LPS-ASSOCIATED PROTEIN 1, is a heat shock protein that in humans is encoded by the HSPA8 gene. The HSPA8 gene contains 9 exons and spans 5 kb. The deduced HSPA8 protein has 646 amino acids and a predicted molecular mass of 70,899 Da. And the HSPA8 gene is mapped on 11q24.1. HSPA8 plays an important role in cells by transiently associating with nascent polypeptides to facilitate correct folding. HSP73 also functions as an ATPase in the disassembly of clathrin-coated vesicles during transport of membrane components through the cell. Rapid decay involves AU-rich binding protein AUF1, which complexes with heat-shock proteins HSC70 and HSP70, translation initiation factor EIF4G, and poly (A)-binding protein. In the absence of Il3, Hsc70 formed a complex with Hsp40 and Hip, and this complex, in association with Eif4g and Pabp, formed a high-stability complex with Bim mRNA that protected it from ribonucleases.

Application Notes

Optimal dilution of the HSPA8 antibody should be determined by the researcher.

Immunogen

Recombinant human protein (amino acids Q520-A614) was used as the immunogen for the HSPA8 antibody.

Storage

After reconstitution, the HSPA8 antibody can be stored for up to one month at 4oC. For long-term, aliquot and store at -20oC. Avoid repeated freezing and thawing.

Cross
Bulk Quote Request Form
Name*:
Organization*:
Email*:
Phone Number*:
Catalog No.*:
Comments and Specifics(amount, formulation, etc.)*:
Validation code: Captchapackage Image


Can't read the image? click here to refresh.
    *required field

Your bulk quote request has been submitted successfully!

Please contact us if you have any questions.