• Tel: 858.663.9055
  • SeparatorEmail: info@nsjbio.com
  • Tel: 858.663.9055
  • Email: info@nsjbio.com
Home >> Antibodies >> HSPA7 Antibody / Putative heat shock 70 kDa protein 7

HSPA7 Antibody / Putative heat shock 70 kDa protein 7 (F54463)

  Catalog No Formulation Size Price (USD)  
Image F54463-0.4ML In 1X PBS, pH 7.4, with 0.09% sodium azide 0.4 ml 429
Image
F54463-0.08ML In 1X PBS, pH 7.4, with 0.09% sodium azide 0.08 ml 199
Bulk quote request
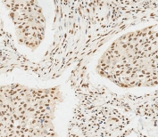
IHC testing of FFPE human testis tissue with HSPA7 antibody. HIER: steam section in pH6 citrate buffer for 20 min and allow to cool prior to staining.
IHC testing of FFPE human lung adenocarcinoma tissue with HSPA7 antibody. HIER: steam section in pH6 citrate buffer for 20 min and allow to cool prior to staining.
Western blot testing of human HEK293 cell lysate with HSPA7 antibody. Predicted molecular weight ~40 kDa, commonly observed at ~70 kDa.
Western blot testing of human CCRF-CEM cell lysate with HSPA7 antibody. Predicted molecular weight ~40 kDa, commonly observed at ~70 kDa.
Flow cytometry testing of fixed and permeabilized human U-2 OS cells with HSPA7 antibody; Blue=isotype control, Green= HSPA7 antibody.
Availability 1-3 business days
Species Reactivity Human
Format Purified
Clonality Polyclonal (rabbit origin)
Isotype Rabbit Ig
Purity Antigen affinity purified
UniProt P48741
Localization Nuclear, cytoplasmic
Applications Western Blot : 1:500-1:2000
Flow Cytometry : 1:25 (1x10e6 cells)
Immunohistochemistry (FFPE) : 1:25
Limitations This HSPA7 antibody is available for research use only.
Review this product on BioCompare and get a $20 Amazon gift card

Application Notes

The stated application concentrations are suggested starting points. Titration of the HSPA7 antibody may be required due to differences in protocols and secondary/substrate sensitivity.

Immunogen

A portion of amino acids 169-196 from the human protein was used as the immunogen for the HSPA7 antibody.

Storage

Aliquot the HSPA7 antibody and store frozen at -20oC or colder. Avoid repeated freeze-thaw cycles.

Cross
Bulk Quote Request Form
Name*:
Organization*:
Email*:
Phone Number*:
Catalog No.*:
Comments and Specifics(amount, formulation, etc.)*:
Validation code: Captchapackage Image


Can't read the image? click here to refresh.
    *required field

Your bulk quote request has been submitted successfully!

Please contact us if you have any questions.