• Tel: 858.663.9055
  • SeparatorEmail: info@nsjbio.com
  • Tel: 858.663.9055
  • Email: info@nsjbio.com
Home >> Antibodies >> HSPA2 Antibody

HSPA2 Antibody (R32139)

  Catalog No Formulation Size Price (USD)  
Image R32139 0.5mg/ml if reconstituted with 0.2ml sterile DI water 100 ug 439
Bulk quote request
Western blot testing of 1) rat liver, 2) rat thymus, 3) rat testis, 4) mouse liver, 5) mouse kidney, 6) human HeLa, 7) human MCF7 and 8) human A375 and 9) mouse NIH3T3 lysate with HSPA2 antibody. Expected/observed molecular weight ~70 kDa.
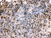
IHC testing of FFPE human lung cancer tissue with HSPA2 antibody. HIER: Boil the paraffin sections in pH 6, 10mM citrate buffer for 20 minutes and allow to cool prior to staining.
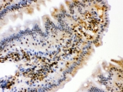
IHC testing of FFPE mouse intestine with HSPA2 antibody. HIER: Boil the paraffin sections in pH 6, 10mM citrate buffer for 20 minutes and allow to cool prior to staining.
IHC testing of FFPE rat intestine with HSPA2 antibody. HIER: Boil the paraffin sections in pH 6, 10mM citrate buffer for 20 minutes and allow to cool prior to staining.
IF/ICC staining of FFPE human PC-3 cells with HSPA2 antibody (green) at 2ug/ml and DAPI nuclear stain (blue). HIER: steam section in pH6 citrate buffer for 20 min.
IF/ICC staining of FFPE human PC-3 cells with HSPA2 antibody at 2ug/ml. HIER: steam section in pH6 citrate buffer for 20 min.
Flow cytometry testing of human PC-3 cells with HSPA2 antibody at 1ug/10^6 cells (blocked with goat sera); Red=cells alone, Green=isotype control, Blue= HSPA2 antibody.
Availability 1-3 business days
Species Reactivity Human, Mouse, Rat
Format Antigen affinity purified
Clonality Polyclonal (rabbit origin)
Isotype Rabbit IgG
Purity Antigen affinity
Buffer Lyophilized from 1X PBS with 2.5% BSA and 0.025% sodium azide
UniProt P54652
Localization Nuclear, cytoplasmic
Applications Western Blot : 0.1-0.5ug/ml
Immunohistochemistry (FFPE) : 0.5-1ug/ml
Immunofluorescence/Immunocytochemistry : 2-4ug/ml
Flow Cytometry : 1-3ug/10^6 cells
Limitations This HSPA2 antibody is available for research use only.
Review this product on BioCompare and get a $20 Amazon gift card

Related Products

  • Applications : WB, IHC-P
    Reactivity : Human
  • Applications : WB
    Reactivity : Human, Mouse, Rat

Description

HSPA2 (heat shock 70kDa protein 2) is also known as HEAT-SHOCK PROTEIN, 70-KD, 2, HSP70-2, HEAT-SHOCK PROTEIN, 70-KD, 3 or HSP70-3. Analysis of the sequence indicated that HSPA2 is the human homolog of the murine Hsp70-2 gene, with 91.7% identity in the nucleotide coding sequence and 98.2% in the corresponding amino acid sequence. HSPA2 has less amino acid homology to the other members of the human HSP70 gene family. HSPA2 is constitutively expressed in most tissues, with very high levels in testis and skeletal muscle. The HSPA2 gene is located on chromosome 14q22-q24. Immunohistochemical analysis detected weak expression of HSPA2 in spermatocytes and stronger expression in spermatids and in the tail of mature sperm. HSPA2 may be critical to sperm maturation through its role as a protein chaperone.

Application Notes

Optimal dilution of the HSPA2 antibody should be determined by the researcher.

Immunogen

Amino acids KISEQDKNKILDKCQEVINWLDRNQMAEKDEYEHK of human HSPA2 were used as the immunogen for the HSPA2 antibody.

Storage

After reconstitution, the HSPA2 antibody can be stored for up to one month at 4oC. For long-term, aliquot and store at -20oC. Avoid repeated freezing and thawing.

Cross
Bulk Quote Request Form
Name*:
Organization*:
Email*:
Phone Number*:
Catalog No.*:
Comments and Specifics(amount, formulation, etc.)*:
Validation code: Captchapackage Image


Can't read the image? click here to refresh.
    *required field

Your bulk quote request has been submitted successfully!

Please contact us if you have any questions.