• Tel: 858.663.9055
  • SeparatorEmail: info@nsjbio.com
  • Tel: 858.663.9055
  • Email: info@nsjbio.com
Home >> Antibodies >> HSPA12A Antibody / Heat shock 70 kDa protein 12A

HSPA12A Antibody / Heat shock 70 kDa protein 12A [clone BDD-8] (RQ4733)

  Catalog No Formulation Size Price (USD)  
Image RQ4733 Antibody in PBS with 0.02% sodium azide, 50% glycerol and 0.4-0.5mg/ml BSA 100 ul 439
Microvalidated Rab Mono Image
Bulk quote request
Western blot testing of human U-87 MG cell lysate with HSPA12A antibody. Expected molecular weight ~70 kDa.
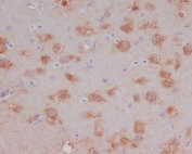
IHC staining of FFPE mouse brain tissue with HSPA12A antibody. HIER: boil tissue sections in pH6, 10mM citrate buffer, for 10-20 min and allow to cool before testing.
Availability 1-2 weeks
Species Reactivity Human, Mouse
Format Purified
Clonality Rabbit Monoclonal
Isotype Rabbit IgG
Clone Name BDD-8
Purity Affinity purified
UniProt O43301
Applications Western Blot : 1:500-1:2000
Immunohistochemistry (FFPE) : 1:50-1:200
Limitations This HSPA12A antibody is available for research use only.
Review this product on BioCompare and get a $20 Amazon gift card

Related Products

Description

Heat shock 70kDa protein 12A also known as HSPA12A is a human gene. The protein encoded by this gene is a member of the Hsp70 family of heat shock proteins. [Wiki]

Application Notes

Optimal dilution of the HSPA12A antibody should be determined by the researcher.

Immunogen

A synthetic peptide specific to human HSPA12A was used as the immunogen for the HSPA12A antibody.

Storage

Store the HSPA12A antibody at -20oC.

Cross
Bulk Quote Request Form
Name*:
Organization*:
Email*:
Phone Number*:
Catalog No.*:
Comments and Specifics(amount, formulation, etc.)*:
Validation code: Captchapackage Image


Can't read the image? click here to refresh.
    *required field

Your bulk quote request has been submitted successfully!

Please contact us if you have any questions.