• Tel: 858.663.9055
  • SeparatorEmail: info@nsjbio.com
  • Tel: 858.663.9055
  • Email: info@nsjbio.com
Home >> Antibodies >> HSP90B1 Antibody / GRP94

HSP90B1 Antibody / GRP94 (F54810)

  Catalog No Formulation Size Price (USD)  
Image F54810-0.4ML In 1X PBS, pH 7.4, with 0.09% sodium azide 0.4 ml 429
Image
F54810-0.08ML In 1X PBS, pH 7.4, with 0.09% sodium azide 0.08 ml 199
Bulk quote request
Flow cytometry testing of human K562 cells with HSP90B1 antibody; Blue=isotype control, Green= HSP90B1 antibody.
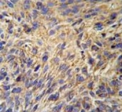
IHC testing of FFPE human lung carcinoma tissue with HSP90B1 antibody. HIER: steam section in pH6 citrate buffer for 20 min and allow to cool prior to staining.
Immunofluorescent staining of human NCI-H460 cells with HSP90B1 antibody (green) and DAPI nuclear stain (blue).
Western blot testing of 1) human HepG2, 2) mouse liver, 3) hamster CHO, 4) human K562 and 5) human HeLa cell lysate with HSP90B1 antibody. Predicted molecular weight ~94 kDa.
Availability 1-3 business days
Species Reactivity Human, Mouse
Format Purified
Clonality Polyclonal (rabbit origin)
Isotype Rabbit Ig
Purity Antigen affinity purified
UniProt P14625
Localization Cytoplasmic
Applications Immunofluorescence : 1:10-1:50
Flow Cytometry : 1:10-1:50 (1x10e6 cells)
Immunohistochemistry (FFPE) : 1:50-1:100
Western Blot : 1:500-1:1000
Limitations This HSP90B1 antibody is available for research use only.
Review this product on BioCompare and get a $20 Amazon gift card

Related Products

Description

HSP90B1 is highly conserved molecular chaperones that have key roles in signal transduction, protein folding, protein degradation, and morphologic evolution. HSP90 proteins normally associate with other cochaperones and play important roles in folding newly synthesized proteins or stabilizing and refolding denatured proteins after stress. HSP90B1 is an endoplasmic reticulum HSP90 protein. Other HSP90 proteins are found in cytosol.

Application Notes

The stated application concentrations are suggested starting points. Titration of the HSP90B1 antibody may be required due to differences in protocols and secondary/substrate sensitivity.

Immunogen

A portion of amino acids 16-43 from the human protein was used as the immunogen for the HSP90B1 antibody.

Storage

Aliquot the HSP90B1 antibody and store frozen at -20oC or colder. Avoid repeated freeze-thaw cycles.

Cross
Bulk Quote Request Form
Name*:
Organization*:
Email*:
Phone Number*:
Catalog No.*:
Comments and Specifics(amount, formulation, etc.)*:
Validation code: Captchapackage Image


Can't read the image? click here to refresh.
    *required field

Your bulk quote request has been submitted successfully!

Please contact us if you have any questions.