• Tel: 858.663.9055
  • SeparatorEmail: info@nsjbio.com
  • Tel: 858.663.9055
  • Email: info@nsjbio.com
Home >> Antibodies >> HSP90AA1 Antibody / HSP90 alpha

HSP90AA1 Antibody / HSP90 alpha [clone CCF-8] (RQ5193)

  Catalog No Formulation Size Price (USD)  
Image RQ5193 Antibody in PBS with 0.02% sodium azide, 50% glycerol and 0.4-0.5mg/ml BSA 100 ul 439
Microvalidated Rab Mono Image
Bulk quote request
Western blot testing of human HeLa cell lysate with HSP90AA1 antibody. Predicted molecular weight: 86-90 kDa.
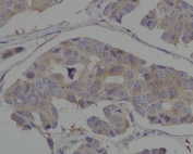
IHC staining of FFPE human breast cancer with HSP90AA1 antibody. HIER: boil tissue sections in pH6, 10mM citrate buffer, for 10-20 min and allow to cool before testing.
Availability 1-2 weeks
Species Reactivity Human
Format Purified
Clonality Rabbit Monoclonal
Isotype Rabbit IgG
Clone Name CCF-8
Purity Affinity purified
UniProt P07900
Localization Cell membrane, cytoplasmic, nuclear
Applications Western Blot : 1:500-1:2000
Immunohistochemistry (FFPE) : 1:50-1:200
Limitations This HSP90AA1 antibody is available for research use only.
Review this product on BioCompare and get a $20 Amazon gift card

Related Products

Description

HSP90 alpha is a molecular chaperone that promotes the maturation, structural maintenance and proper regulation of specific target proteins involved for instance in cell cycle control and signal transduction. Undergoes a functional cycle that is linked to its ATPase activity which is essential for its chaperone activity. This cycle probably induces conformational changes in the client proteins, thereby causing their activation. Interacts dynamically with various co-chaperones that modulate its substrate recognition, ATPase cycle and chaperone function. [UniProt]

Application Notes

Optimal dilution of the HSP90AA1 antibody should be determined by the researcher.

Immunogen

A synthetic peptide specific to human HSP90 alpha / HSP90AA1 was used as the immunogen for the HSP90AA1 antibody.

Storage

Store the HSP90AA1 antibody at -20oC.

Cross
Bulk Quote Request Form
Name*:
Organization*:
Email*:
Phone Number*:
Catalog No.*:
Comments and Specifics(amount, formulation, etc.)*:
Validation code: Captchapackage Image


Can't read the image? click here to refresh.
    *required field

Your bulk quote request has been submitted successfully!

Please contact us if you have any questions.