• Tel: 858.663.9055
  • SeparatorEmail: info@nsjbio.com
  • Tel: 858.663.9055
  • Email: info@nsjbio.com
Home >> Antibodies >> hsp90a.1 Antibody

hsp90a.1 Antibody (F54476)

  Catalog No Formulation Size Price (USD)  
Image F54476-0.4ML In 1X PBS, pH 7.4, with 0.09% sodium azide 0.4 ml 429
Image
F54476-0.08ML In 1X PBS, pH 7.4, with 0.09% sodium azide 0.08 ml 199
Bulk quote request
Western blot testing of zebrafish 1) muscle and 2) whole lysate with hsp90a.1 antibody. Predicted molecular weight ~83 kDa.
Western blot testing of zebrafish heart lysate with hsp90a.1 antibody. Predicted molecular weight ~83 kDa.
Western blot testing of zebrafish ZF4 cell lysate with hsp90a.1 antibody. Predicted molecular weight ~83 kDa.
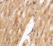
IHC testing of FFPE human skeletal muscle tissue with hsp90a.1 antibody. HIER: steam section in pH6 citrate buffer for 20 min and allow to cool prior to staining.
Availability 1-3 business days
Species Reactivity Zebrafish
Format Purified
Clonality Polyclonal (rabbit origin)
Isotype Rabbit Ig
Purity Antigen affinity purified
UniProt Q90474
Applications Western Blot : 1:500-1:2000
Immunohistochemistry (FFPE) : 1:25
Limitations This hsp90a.1 antibody is available for research use only.
Review this product on BioCompare and get a $20 Amazon gift card

Related Products

Description

Molecular chaperone that promotes the maturation, structural maintenance and proper regulation of specific target proteins involved for instance in cell cycle control and signal transduction. Undergoes a functional cycle that is linked to its ATPase activity. This cycle probably induces conformational changes in the client proteins, thereby causing their activation. Interacts dynamically with various co-chaperones that modulate its substrate recognition, ATPase cycle and chaperone function (By similarity). Plays a key role in slow and fast muscle development in the embryo. Plays a role in myosin expression and assembly.

Application Notes

The stated application concentrations are suggested starting points. Titration of the hsp90a.1 antibody may be required due to differences in protocols and secondary/substrate sensitivity.

Immunogen

A portion of amino acids 229-263 from the zebrafish protein was used as the immunogen for the hsp90a.1 antibody.

Storage

Aliquot the hsp90a.1 antibody and store frozen at -20oC or colder. Avoid repeated freeze-thaw cycles.

Cross
Bulk Quote Request Form
Name*:
Organization*:
Email*:
Phone Number*:
Catalog No.*:
Comments and Specifics(amount, formulation, etc.)*:
Validation code: Captchapackage Image


Can't read the image? click here to refresh.
    *required field

Your bulk quote request has been submitted successfully!

Please contact us if you have any questions.