- Tel: 858.663.9055
- 
									 Email: info@nsjbio.com Email: info@nsjbio.com
- Tel: 858.663.9055
- Email: info@nsjbio.com
 Email: info@nsjbio.com
Email: info@nsjbio.com
								Related Products
| 
 | 
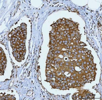
Heat shock protein 90 (Hsp90) is one of the most common of the heat-related proteins. Hsp90 is found in bacteria and all branches of eukarya, but it is apparently absent in archaea. Whereas cytoplasmic Hsp90 is essential for viability under all conditions in eukaryotes, the bacterial homologue HtpG is dispensable under non-heat stress conditions. [Wiki]
Optimal dilution of the HSP90 alpha/beta antibody should be determined by the researcher.
A synthetic peptide specific to human HSP90 alpha/beta was used as the immunogen for the HSP90 alpha/beta antibody.
Store the HSP90 alpha/beta antibody at -20oC.
 
Your bulk quote request has been submitted successfully!
Please contact us if you have any questions.