• Tel: 858.663.9055
  • SeparatorEmail: info@nsjbio.com
  • Tel: 858.663.9055
  • Email: info@nsjbio.com
Home >> Antibodies >> HSP90 alpha Antibody / HSP90AA1

HSP90 alpha Antibody / HSP90AA1 (R31515)

  Catalog No Formulation Size Price (USD)  
Image R31515 0.5mg/ml if reconstituted with 0.2ml sterile DI water 100 ug 439
Bulk quote request
Western blot testing of Hsp90 alpha antibody and Lane 1: rat liver; 2: HeLa; 3: MCF-7; 4: Raji lysate. Expected/observed molecular weight: 86-90 kDa.
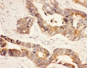
IHC-P: HSP90 alpha antibody testing of human intestinal cancer tissue. HIER: steamed with pH6 citrate buffer.
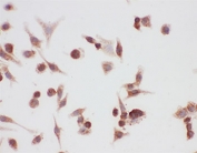
ICC testing of HSP90 alpha antibody and MCF-7 cells
ICC testing of HSP90 alpha antibody and A549 cells
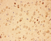
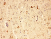
IHC-P: HSP90 alpha antibody testing of mouse brain tissue. HIER: steamed with pH6 citrate buffer.
IHC-P: HSP90 alpha antibody testing of rat brain tissue. HIER: steamed with pH6 citrate buffer.
Availability 1-3 business days
Species Reactivity Human, Mouse, Rat
Format Antigen affinity purified
Clonality Polyclonal (rabbit origin)
Isotype Rabbit IgG
Purity Antigen affinity
Buffer Lyophilized from 1X PBS with 2.5% BSA and 0.025% sodium azide
Gene ID 3320
Localization Cell membrane, cytoplasm
Applications Western Blot : 0.5-1ug/ml
IHC (FFPE) : 0.5-1ug/ml
Immunocytochemistry : 0.5-1ug/ml
Limitations This HSP90 alpha antibody is available for research use only.
Review this product on BioCompare and get a $20 Amazon gift card

Related Products

Description

Heat shock protein 90 is a chaperone protein that assists other proteins to fold properly, stabilizes proteins against heat stress, and aids in protein degradation. Inhibitors of it are investigated as anti-cancer drugs. Heat shock proteins, as a class, are among the most highly expressed cellular proteins across all species. HSP90 acts as a capacitor for morphologic evolution through epigenetic and genetic mechanisms. It is a molecular chaperone that plays a key role in the conformational maturation of oncogenic signaling proteins, including HER2/ERBB2, AKT, RAF1, BCR-ABL, and mutated p53. Although it is highly expressed in most cells, HSP90 inhibitors selectively kill cancer cells compared to normal cells, and the the inhibitor 17-allylaminogeldanamycin (17-AAG) exhibited antitumor activity in preclinical models.

Application Notes

The stated application concentrations are suggested starting points. Titration of the HSP90 alpha antibody may be required due to differences in protocols and secondary/substrate sensitivity.

Immunogen

Human partial recombinant protein (AA 2-365) was used as the immunogen for this HSP90 alpha antibody.

Storage

After reconstitution, the HSP90 alpha antibody can be stored for up to one month at 4oC. For long-term, aliquot and store at -20oC. Avoid repeated freezing and thawing.

Cross
Bulk Quote Request Form
Name*:
Organization*:
Email*:
Phone Number*:
Catalog No.*:
Comments and Specifics(amount, formulation, etc.)*:
Validation code: Captchapackage Image


Can't read the image? click here to refresh.
    *required field

Your bulk quote request has been submitted successfully!

Please contact us if you have any questions.