• Tel: 858.663.9055
  • SeparatorEmail: info@nsjbio.com
  • Tel: 858.663.9055
  • Email: info@nsjbio.com
Home >> Antibodies >> HSP90 alpha Antibody / HSP90AA1

HSP90 alpha Antibody / HSP90AA1 [clone BAC-8] (RQ5191)

  Catalog No Formulation Size Price (USD)  
Image RQ5191 Antibody in PBS with 0.02% sodium azide, 50% glycerol and 0.4-0.5mg/ml BSA 100 ul 439
Microvalidated Rab Mono Image
Bulk quote request
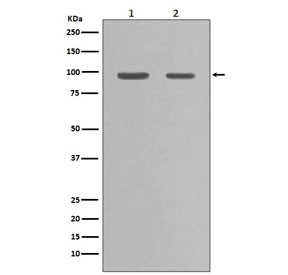
Western blot testing of 1) rat PC-12 and 2) human HeLa cell lysate with HSP90 alpha antibody. Predicted molecular weight: 86-90 kDa.
Availability 1-2 weeks
Species Reactivity Human, Rat
Format Purified
Clonality Rabbit Monoclonal
Isotype Rabbit IgG
Clone Name BAC-8
Purity Affinity purified
UniProt P07900
Applications Western Blot : 1:500-1:2000
Limitations This HSP90 alpha antibody is available for research use only.
Review this product on BioCompare and get a $20 Amazon gift card

Related Products

Description

The protein encoded by the HSP90AA1 gene is an inducible molecular chaperone that functions as a homodimer. The encoded protein aids in the proper folding of specific target proteins by use of an ATPase activity that is modulated by co-chaperones. [RefSeq]

Application Notes

Optimal dilution of the HSP90 alpha antibody should be determined by the researcher.

Immunogen

A synthetic peptide specific to human HSP90 alpha / HSP90AA1 was used as the immunogen for the HSP90 alpha antibody.

Storage

Store the Hsp90 alpha antibody at -20oC.

Cross
Bulk Quote Request Form
Name*:
Organization*:
Email*:
Phone Number*:
Catalog No.*:
Comments and Specifics(amount, formulation, etc.)*:
Validation code: Captchapackage Image


Can't read the image? click here to refresh.
    *required field

Your bulk quote request has been submitted successfully!

Please contact us if you have any questions.