• Tel: 858.663.9055
  • SeparatorEmail: info@nsjbio.com
  • Tel: 858.663.9055
  • Email: info@nsjbio.com
Home >> Antibodies >> HSP60 Antibody

HSP60 Antibody [clone AE-1] (V8546)

  Catalog No Formulation Size Price (USD)  
Image V8546-100UG 0.2 mg/ml in 1X PBS with 0.1 mg/ml BSA (US sourced) and 0.05% sodium azide 100 ug 539
Image
V8546-20UG 0.2 mg/ml in 1X PBS with 0.1 mg/ml BSA (US sourced) and 0.05% sodium azide 20 ug 249
Image
V8546SAF-100UG 1 mg/ml in 1X PBS; BSA free, sodium azide free 100 ug 539
Bulk quote request
Immunofluorescent staining of PFA-fixed human HeLa cells with HSP60 antibody (clone AE-1, green) and Reddot nuclear stain (red).
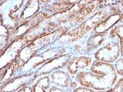
IHC staining of FFPE human renal cell carcinoma with HSP60 antibody (clone AE-1). HIER: boil tissue sections in pH 9 10mM Tris with 1mM EDTA for 20 min and allow to cool before testing.
Availability 1-3 business days
Species Reactivity Human
Format Purified
Clonality Monoclonal (mouse origin)
Isotype Mouse IgG1, kappa
Clone Name AE-1
Purity Protein G affinity chromatography
UniProt P10809
Localization Cytoplasm (mitochondria)
Applications Flow Cytometry : 1-2ug/million cells
Immunofluorescence : 1-2ug/ml
Western Blot : 1-2ug/ml
Immunohistochemistry (FFPE) : 1-2ug/ml for 30 minutes at RT
Limitations This HSP60 antibody is available for research use only.
Review this product on BioCompare and get a $20 Amazon gift card

Related Products

  • Applications : WB, IHC-P
    Reactivity : Human
    Recmousemono
    Microvalidated
  • Applications : WB, IHC-P
    Reactivity : Human, Dog
    Recrabbitmono
  • Applications : IF, WB, IHC-P
    Reactivity : Human
    Microvalidated
  • Applications : FACS, IF, WB, IHC-P
    Reactivity : Human, Mouse, Rat
    Citation  Citations(8)
  • Applications : IF, WB, IHC-P
    Reactivity : Human
    Citation  Citations(9)
  • Applications : WB, IF, IHC-P
    Reactivity : Human
  • Applications : IF, IHC-P
    Reactivity : Human
  • Applications : IF, WB, IHC-P
    Reactivity : Human
    Citation  Citations(1)
  • Applications : IF, WB, IHC-P
    Reactivity : Human
  • Applications : WB
    Reactivity : Human
    Rab Mono Image
  • Applications : FACS, IF, WB, IHC-P
    Reactivity : Human
  • Applications : WB
    Reactivity : Human
  • Applications : WB, IHC-P
    Reactivity : Human
  • Applications : WB, IHC-P, IF, ICC, FACS
    Reactivity : Human, Mouse, Rat
  • Applications : WB, IHC-P, ICC, IF, FACS
    Reactivity : Human, Mouse, Rat
  • Applications : WB, IHC, ELISA
    Reactivity : Human, Mouse
  • Applications : WB, IHC-P, IF, ELISA (peptide)
    Reactivity : Human, Pig, Rat
    Pred. Reactivity : Cow, Dog

Description

Recognizes a 60kDa protein, identified as the heat shock protein 60 (hsp60). A wide variety of environmental and pathophysiological stressful conditions trigger the synthesis of a family of proteins known as heat shock proteins (hsps). Hsp60 is a potential antigen in a number of autoimmune diseases. In human arthritis and in experimentally induced arthritis in animals, disease development coincides with the development of immune reactivity directed against not only bacterial hsp60, but also against its mammalian homolog.

Application Notes

Optimal dilution of the HSP60 antibody should be determined by the researcher.

Immunogen

Recombinant human protein was used as the immunogen for the HSP60 antibody.

Storage

Store the HSP60 antibody at 2-8oC (with azide) or aliquot and store at -20oC or colder (without azide).

Cross
Bulk Quote Request Form
Name*:
Organization*:
Email*:
Phone Number*:
Catalog No.*:
Comments and Specifics(amount, formulation, etc.)*:
Validation code: Captchapackage Image


Can't read the image? click here to refresh.
    *required field

Your bulk quote request has been submitted successfully!

Please contact us if you have any questions.