• Tel: 858.663.9055
  • SeparatorEmail: info@nsjbio.com
  • Tel: 858.663.9055
  • Email: info@nsjbio.com
Home >> Antibodies >> HSP22 Antibody / HSPB8

HSP22 Antibody / HSPB8 (R32797)

  Catalog No Formulation Size Price (USD)  
Image R32797 0.5mg/ml if reconstituted with 0.2ml sterile DI water 100 ug 439
Bulk quote request
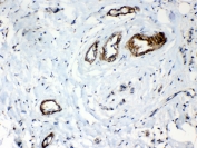
IHC testing of FFPE human lung cancer tissue with HSP22 antibody at 1ug/ml. Required HIER: steam section in pH6 citrate buffer for 20 min and allow to cool prior to testing.
IHC testing of FFPE human breast cancer tissue with HSP22 antibody at 1ug/ml. Required HIER: steam section in pH6 citrate buffer for 20 min and allow to cool prior to testing.
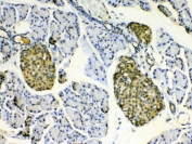
IHC testing of FFPE mouse pancreas tissue with HSP22 antibody at 1ug/ml. Required HIER: steam section in pH6 citrate buffer for 20 min and allow to cool prior to testing.
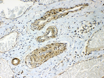
IHC testing of FFPE rat pancreas tissue with HSP22 antibody at 1ug/ml. Required HIER: steam section in pH6 citrate buffer for 20 min and allow to cool prior to testing.
Western blot testing of 1) rat skeletal muscle, 2) rat heart, 3) mouse skeletal muscle, 4) mouse heart and 5) human HeLa lysate with HSP22 antibody at 0.5ug/ml. Observed molecular weight: 22-27 kDa.
Immunofluorescent staining of FFPE human MCF7 cells with HSP22 antibody (red) and DAPI nuclear stain (blue). HIER: steam section in pH6 citrate buffer for 20 min.
Flow cytometry testing of fixed and permeabilized human U-2 OS cells with HSP22 antibody at 1ug/million cells (blocked with goat sera); Red=cells alone, Green=isotype control, Blue= HSP22 antibody.
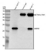
Western blot testing of 1) human MCF7, 2) human U-87 MG, 3) rat H9C2, 4) rat heart, 5) rat C2C12, 6) mouse skeletal muscle and 7) mouse heart lysate with HSP22 antibody at 0.5ug/ml. Observed molecular weight: 22-27 kDa.
Immunoprecipitation of HSP22 protein from 500ug of human MCF7 whole cell lysate with 2ug of HSP22 antibody.
Availability 1-3 business days
Species Reactivity Human, Mouse, Rat
Format Antigen affinity purified
Clonality Polyclonal (rabbit origin)
Isotype Rabbit IgG
Purity Antigen affinity
Buffer Lyophilized from 1X PBS with 2% Trehalose and 0.025% sodium azide
UniProt Q9UJY1
Applications Western Blot : 0.5-1ug/ml
Immunohistochemistry (FFPE) : 1-2ug/ml
Immunofluorescence (FFPE) : 5ug/ml
Flow Cytometry : 1-3ug/million cells
Immunoprecipitation : 2ug antibody/500ug lysate
Limitations This HSP22 antibody is available for research use only.
Review this product on BioCompare and get a $20 Amazon gift card

Related Products

  • Applications : WB, FACS, IF
    Reactivity : Human, Rat
  • Applications : WB, ELISA (peptide)
    Reactivity : Human

Description

Heat shock protein beta-8, or HSP22, is a protein that in humans is encoded by the HSPB8 gene. The protein encoded by this gene belongs to the superfamily of small heat-shock proteins containing a conservative alpha-crystallin domain at the C-terminal part of the molecule. The expression of this gene in induced by estrogen in estrogen receptor-positive breast cancer cells, and this protein also functions as a chaperone in association with Bag3, a stimulator of macroautophagy. Thus, this gene appears to be involved in regulation of cell proliferation, apoptosis, and carcinogenesis, and mutations in this gene have been associated with different neuromuscular diseases, including Charcot-Marie-Tooth disease.

Application Notes

Optimal dilution of the HSP22 antibody should be determined by the researcher.

Immunogen

Amino acids M1-T196 from the human protein were used as the immunogen for the HSP22 antibody.

Storage

After reconstitution, the HSP22 antibody can be stored for up to one month at 4oC. For long-term, aliquot and store at -20oC. Avoid repeated freezing and thawing.

Cross
Bulk Quote Request Form
Name*:
Organization*:
Email*:
Phone Number*:
Catalog No.*:
Comments and Specifics(amount, formulation, etc.)*:
Validation code: Captchapackage Image


Can't read the image? click here to refresh.
    *required field

Your bulk quote request has been submitted successfully!

Please contact us if you have any questions.