• Tel: 858.663.9055
  • SeparatorEmail: info@nsjbio.com
  • Tel: 858.663.9055
  • Email: info@nsjbio.com
Home >> Antibodies >> HSP20 Antibody

HSP20 Antibody (R32978)

  Catalog No Formulation Size Price (USD)  
Image R32978 0.5mg/ml if reconstituted with 0.2ml sterile DI water 100 ug 439
Bulk quote request
Immunofluorescent staining of FFPE human A431 cells with HSP20 antibody (green) and DAPI nuclear stain (blue). HIER: steam section in pH6 citrate buffer for 20 min.
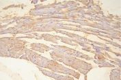
IHC staining of FFPE human skeletal muscle with HSP20 antibody. HIER: boil tissue sections in pH8 EDTA for 20 min and allow to cool before testing.
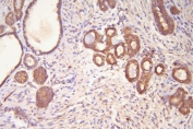
IHC staining of FFPE human breast cancer with HSP20 antibody. HIER: boil tissue sections in pH8 EDTA for 20 min and allow to cool before testing.
Western blot testing of 1) rat heart, 2) rat skeletal muscle, 3) rat testis, 4) mouse testis and 5) human A431 lysate with HSP20 antibody at 0.5ug/ml. Predicted molecular weight: 17-20 kDa.
IHC staining of FFPE mouse heart with HSP20 antibody. HIER: boil tissue sections in pH8 EDTA for 20 min and allow to cool before testing.
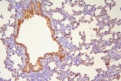
IHC staining of FFPE mouse lung with HSP20 antibody. HIER: boil tissue sections in pH8 EDTA for 20 min and allow to cool before testing.
IHC staining of FFPE rat heart with HSP20 antibody. HIER: boil tissue sections in pH8 EDTA for 20 min and allow to cool before testing.
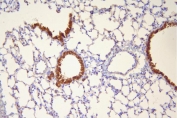
IHC staining of FFPE rat lung with HSP20 antibody. HIER: boil tissue sections in pH8 EDTA for 20 min and allow to cool before testing.
Availability 1-3 business days
Species Reactivity Human, Mouse, Rat
Format Antigen affinity purified
Clonality Polyclonal (rabbit origin)
Isotype Rabbit IgG
Purity Antigen affinity
Buffer Lyophilized from 1X PBS with 2.5% BSA, 0.025% sodium azide
UniProt O14558
Applications Western Blot : 0.5-1ug/ml
Immunohistochemistry (FFPE) : 1-2ug/ml
Immunofluorescence : 2-4ug/ml
Limitations This HSP20 antibody is available for research use only.
Review this product on BioCompare and get a $20 Amazon gift card

Related Products

Description

Heat shock protein beta-6 is a protein that in humans is encoded by the HSPB6 gene. HSPB6, also known as hsp20, is a 17-kDa member of the small heat shock family of proteins. It is expressed in multiple tissues; however, HSPB6 is most highly and constitutively expressed in different types of muscle including vascular, airway, colonic, bladder, uterine smooth muscle, cardiac muscle and skeletal muscle. HSPB6 has specific functions for vasodilation, platelet function, and insulin resistance and in smooth and cardiac muscle.

Application Notes

Optimal dilution of the HSP20 antibody should be determined by the researcher.

Immunogen

A recombinant human protein corresponding to amino acids H73-L123 was used as the immunogen for the HSP20 antibody.

Storage

After reconstitution, the HSP20 antibody can be stored for up to one month at 4oC. For long-term, aliquot and store at -20oC. Avoid repeated freezing and thawing.

Cross
Bulk Quote Request Form
Name*:
Organization*:
Email*:
Phone Number*:
Catalog No.*:
Comments and Specifics(amount, formulation, etc.)*:
Validation code: Captchapackage Image


Can't read the image? click here to refresh.
    *required field

Your bulk quote request has been submitted successfully!

Please contact us if you have any questions.