• Tel: 858.663.9055
  • SeparatorEmail: info@nsjbio.com
  • Tel: 858.663.9055
  • Email: info@nsjbio.com
Home >> Antibodies >> Hsp20 Antibody / HSPB6

Hsp20 Antibody / HSPB6 [clone IAD-8] (RQ4701)

  Catalog No Formulation Size Price (USD)  
Image RQ4701 Antibody in PBS with 0.02% sodium azide, 50% glycerol and 0.4-0.5mg/ml BSA 100 ul 439
Microvalidated Rab Mono Image
Bulk quote request
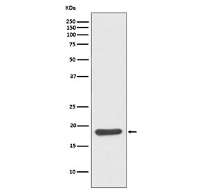
Western blot testing of mouse skeletal muscle lysate with Hsp20 antibody. Predicted molecular weight: 17-20 kDa.
Availability 1-2 weeks
Species Reactivity Human, Mouse
Format Purified
Clonality Rabbit Monoclonal
Isotype Rabbit IgG
Clone Name IAD-8
Purity Affinity purified
UniProt O14558
Applications Western Blot : 1:5000-1:10000
Limitations This Hsp20 antibody is available for research use only.
Review this product on BioCompare and get a $20 Amazon gift card

Related Products

  • Applications : WB, IF, IHC-P
    Reactivity : Human, Mouse, Rat

Description

Hsp20 likely plays a role in smooth muscle relaxation.

Application Notes

Optimal dilution of the Hsp20 antibody should be determined by the researcher.

Immunogen

A synthetic peptide specific to human Hsp20 / HSPB6 was used as the immunogen for the Hsp20 antibody.

Storage

Store the Hsp20 antibody at -20oC.

Cross
Bulk Quote Request Form
Name*:
Organization*:
Email*:
Phone Number*:
Catalog No.*:
Comments and Specifics(amount, formulation, etc.)*:
Validation code: Captchapackage Image


Can't read the image? click here to refresh.
    *required field

Your bulk quote request has been submitted successfully!

Please contact us if you have any questions.