• Tel: 858.663.9055
  • SeparatorEmail: info@nsjbio.com
  • Tel: 858.663.9055
  • Email: info@nsjbio.com
Home >> Antibodies >> HSP105 Antibody

HSP105 Antibody (R30688)

  Catalog No Formulation Size Price (USD)  
Image R30688 0.5mg/ml if reconstituted with 0.2ml sterile DI water 100 ug 439
Bulk quote request
Western blot testing of HSP105 antibody and Lane 1: rat ovary ; 2: A549 cell lysate; 3: U87 cell lysate; 4: HeLa cell lysate. Expected molecular weight: 105-110 kDa.
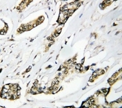
IHC-P: HSP105 antibody testing of human breast cancer tissue
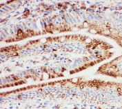
IHC-P: HSP105 antibody testing of rat intestine tissue
IHC-F testing of rat intestine tissue
Availability 1-3 business days
Species Reactivity Human, Mouse, Rat
Format Antigen affinity purified
Clonality Polyclonal (rabbit origin)
Isotype Rabbit IgG
Purity Antigen affinity
Buffer Lyophilized from 1X PBS with 2.5% BSA and 0.025% sodium azide/thimerosal
UniProt Q92598
Localization Cytoplasmic
Applications Western Blot : 0.5-1ug/ml
IHC (FFPE) : 0.5-1ug/ml
IHC (Frozen) : 0.5-1ug/ml
Limitations This HSP105 antibody is available for research use only.
Review this product on BioCompare and get a $20 Amazon gift card

Related Products

Description

Heat shock protein 105, also called HSPH1 or HSP110, is a protein that in humans is encoded by the HSPH1 gene. Immunohistochemical analysis localizes HSP105 mainly in the cytoplasm. Database analysis indicates that both HSP105 isoforms are highly conserved during evolution. By analysis of radiation hybrids and human/rodent hybrid cell lines, the HSPH1 gene is mapped to chromosome 13. Both HSP105alpha and HSP105beta are upregulated in HeLa cells exposed to heat shock. HSP105alpha, but not HSP105beta, is also upregulate in response to other cell stresses. Following heat shock, HSP105 relocalizes from a cytoplasmic to perinuclear position. Additionally, it may constitute a major determinant for both prognosis and treatment response in colorectal cancer.

Application Notes

The stated application concentrations are suggested starting amounts. Titration of the HSP105 antibody may be required due to differences in protocols and secondary/substrate sensitivity.

Immunogen

Amino acids 713-733 (EVMEWMNNVMNAQAKKSLDQD-human) were used as the immunogen for this HSP105 antibody.

Storage

After reconstitution, the Hsp105 antibody can be stored for up to one month at 4oC. For long-term, aliquot and store at -20oC. Avoid repeated freezing and thawing.

Cross
Bulk Quote Request Form
Name*:
Organization*:
Email*:
Phone Number*:
Catalog No.*:
Comments and Specifics(amount, formulation, etc.)*:
Validation code: Captchapackage Image


Can't read the image? click here to refresh.
    *required field

Your bulk quote request has been submitted successfully!

Please contact us if you have any questions.