• Tel: 858.663.9055
  • SeparatorEmail: info@nsjbio.com
  • Tel: 858.663.9055
  • Email: info@nsjbio.com
Home >> Antibodies >> HSP10 Antibody / HSPE1

HSP10 Antibody / HSPE1 (R30887)

  Catalog No Formulation Size Price (USD)  
Image R30887 0.5mg/ml if reconstituted with 0.2ml sterile DI water 100 ug 439
Bulk quote request
Western blot testing of HSP10 antibody and rat samples 1: thymus; 2: brain; 3: ovary; 4: testis; and human samples 5: A431; 6: A549; 7: MCF-7; 8: MM231; 9: HeLa cell lysate. Expected molecular weight: ~10 kDa.
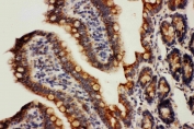
IHC-P: HSP10 antibody testing of human intestinal cancer tissue
ICC testing of HSP10 antibody and A549 cells
IHC-P: HSP10 antibody testing of mouse intestine tissue
IHC staininging of FFPE rat intestinal tissue with HSP10 antibody at 1ug/ml. HIER: boil tissue sections in pH6, 10mM citrate buffer, for 10-20 min followed by cooling at RT for 20 min.
Immunofluorescent staining of FFPE human intestinal cancer with HSP10 antibody (red) and DAPI nuclear counterstain (blue). HIER: boil tissue sections in pH6, 10mM citrate buffer, for 10-20 min followed by cooling at RT for 20 min.
Immunofluorescent staining of FFPE human intestinal cancer with HSP10 antibody (red) and DAPI nuclear counterstain (blue). HIER: boil tissue sections in pH8 EDTA for 10-20 min followed by cooling at RT for 20 min.
IHC staining of FFPE human lung cancer with HSP10 antibody. HIER: boil tissue sections in pH8 EDTA for 20 min and allow to cool before testing.
Immunofluorescent staining of FFPE human HepG2 cells with HSP10 antibody (green) and DAPI nuclear stain (blue). HIER: steam section in pH6 citrate buffer for 20 min.
Immunofluorescent staining of FFPE human HeLa cells with HSP10 antibody. HIER: steam section in pH6 citrate buffer for 20 min.
Western blot testing of 1) human A431, 2) human A549, 3) rat heart and 4) mouse heart lysate with HSP10 antibody. Expected molecular weight: ~10 kDa.
Flow cytometry testing of human HepG2 cells with HSP10 antibody at 1ug/million cells (blocked with goat sera); Red=cells alone, Green=isotype control, Blue= HSP10 antibody.
Availability 1-3 business days
Species Reactivity Human, Mouse, Rat
Format Antigen affinity purified
Clonality Polyclonal (rabbit origin)
Isotype Rabbit IgG
Purity Antigen affinity
Buffer Lyophilized from 1X PBS with 2.5% BSA and 0.025% sodium azide/thimerosal
UniProt P61604
Localization Cytoplasmic
Applications Western Blot : 0.5-1ug/ml
Immunohistochemistry (FFPE) : 0.5-1ug/ml
Immunocytochemistry : 0.5-1ug/ml
Immunofluorescence : 3-6ug/ml
Flow Cytometry : 1-3ug/million cells
Limitations This HSP10 antibody is available for research use only.
Review this product on BioCompare and get a $20 Amazon gift card

Related Products

  • Applications : WB, ELISA
    Reactivity : Human
    Pred. Reactivity : Bovine
  • Applications : WB, ELISA (peptide)
    Reactivity : Human
    Pred. Reactivity : Cow, Dog, Mouse, Pig, Rat
  • Applications : WB, ELISA (peptide)
    Reactivity : Human
    Pred. Reactivity : Cow, Dog, Mouse, Pig

Description

Heat shock 10kDa protein 1, also called CPN10, GROES, and HSP10, is a protein that in humans is encoded by the HSPE1 gene. It is a heptameric ring of identical 10.4-kD subunits that binds to each end of GroEL to form a symmetric, functional heterodimer. The transcriptional activity of the promoter fragment in the HSP60 direction is approximately twice that in the HSP10 direction under normal growth conditions; upon heat shock, promoter activity in either direction increased by a factor of approximately 12. Mutational drifts performed in vitro with 4 different enzymes indicated the HSP10 overexpression doubled the number of accumulating mutations, and promoted the folding of enzyme variants carrying mutations in the protein core and/or mutations with higher destabilizing effects.

Application Notes

The stated application concentrations are suggested starting amounts. Titration of the HSP10 antibody may be required due to differences in protocols and secondary/substrate sensitivity.

Immunogen

An amino acid sequence from the C-terminus of human Heat shock protein 10 (VVLDDKDYFLFRDGDILGKYVD) was used as the immunogen for this HSP10 antibody.

Storage

After reconstitution, the HSP10 antibody can be stored for up to one month at 4oC. For long-term, aliquot and store at -20oC. Avoid repeated freezing and thawing.

Cross
Bulk Quote Request Form
Name*:
Organization*:
Email*:
Phone Number*:
Catalog No.*:
Comments and Specifics(amount, formulation, etc.)*:
Validation code: Captchapackage Image


Can't read the image? click here to refresh.
    *required field

Your bulk quote request has been submitted successfully!

Please contact us if you have any questions.