• Tel: 858.663.9055
  • SeparatorEmail: info@nsjbio.com
  • Tel: 858.663.9055
  • Email: info@nsjbio.com
Home >> Antibodies >> HSF1 Antibody

HSF1 Antibody (F43605)

  Catalog No Formulation Size Price (USD)  
Image F43605-0.4ML In 1X PBS, pH 7.4, with 0.09% sodium azide 0.4 ml 429
Image
F43605-0.08ML In 1X PBS, pH 7.4, with 0.09% sodium azide 0.08 ml 199
Bulk quote request
Western blot analysis of HSF1 antibody and 293 cell lysate (2 ug/lane) either nontransfected (Lane 1) or transiently transfected (2) with the HSF1 gene.
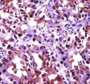
HSF1 antibody immunohistochemistry analysis in formalin fixed and paraffin embedded human kidney carcinoma.
Availability 1-3 business days
Species Reactivity Human
Predicted Reactivity Bovine, Mouse, Xenopus
Format Antigen affinity purified
Clonality Polyclonal (rabbit origin)
Isotype Rabbit Ig
Purity Antigen affinity
UniProt Q00613
Applications Western Blot : 1:1000
IHC (Paraffin) : 1:10-1:50
Limitations This HSF1 antibody is available for research use only.
Review this product on BioCompare and get a $20 Amazon gift card

Related Products

Description

The product of this gene is a heat-shock transcription factor. Transcription of heat-shock genes is rapidly induced after temperature stress. Hsp90, by itself and/or associated with multichaperone complexes, is a major repressor of this gene.

Application Notes

Titration of the HSF1 antibody may be required due to differences in protocols and secondary/substrate sensitivity.

Immunogen

A portion of amino acids 72-100 from the human protein was used as the immunogen for this HSF1 antibody.

Storage

Aliquot the HSF1 antibody and store frozen at -20oC or colder. Avoid repeated freeze-thaw cycles.

Cross
Bulk Quote Request Form
Name*:
Organization*:
Email*:
Phone Number*:
Catalog No.*:
Comments and Specifics(amount, formulation, etc.)*:
Validation code: Captchapackage Image


Can't read the image? click here to refresh.
    *required field

Your bulk quote request has been submitted successfully!

Please contact us if you have any questions.