• Tel: 858.663.9055
  • SeparatorEmail: info@nsjbio.com
  • Tel: 858.663.9055
  • Email: info@nsjbio.com
Home >> Antibodies >> HSD3B1/2 Antibody

HSD3B1/2 Antibody [clone 3F3C/7F9C8] (RQ6736)

  Catalog No Formulation Size Price (USD)  
Image RQ6736 0.5mg/ml if reconstituted with 0.2ml sterile DI water 100 ug 439
Bulk quote request
Immunofluorescent staining of FFPE human U-2 OS cells with HSD3B1/2 antibody (green) and DAPI nuclear stain (blue). HIER: steam section in pH6 citrate buffer for 20 min.
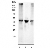
Western blot testing of 1) human placenta, 2) rat testis and 3) mouse testis tissue lysate with HSD3B1/2 antibody. Predicted molecular weight ~42 kDa.
Availability 1-3 business days
Species Reactivity Human, Mouse, Rat
Format Purified
Clonality Monoclonal (mouse origin)
Isotype Mouse IgG2b
Clone Name 3F3C/7F9C8
Purity Affinity purified
Buffer Lyophilized from 1X PBS with 2% Trehalose
UniProt P14060
Localization Cytoplasmic
Applications Western Blot : 1-2ug/ml
Immunofluorescence (FFPE) : 5ug/ml
Limitations This HSD3B1/2 antibody is available for research use only.
Review this product on BioCompare and get a $20 Amazon gift card

Related Products

  • Applications : WB, IHC-P, ELISA (peptide)
    Reactivity : Human
  • Applications : WB, IHC-P, IF, FACS, Direct ELISA
    Reactivity : Human
  • Applications : WB, IHC-P
    Reactivity : Zebrafish

Description

HSD3B1 is a human gene that encodes for a 3beta-hydroxysteroid dehydrogenase/delta(5)-delta(4)isomerase type I or hydroxy-delta-5-steroid dehydrogenase, 3 beta- and steroid delta-isomerase 1. It is mapped to 1p12. The protein encoded by this gene is an enzyme that catalyzes the oxidative conversion of delta-5-3-beta-hydroxysteroid precursors into delta-4-ketosteroids, which leads to the production of all classes of steroid hormones. The encoded protein also catalyzes the interconversion of 3-beta-hydroxy- and 3-keto-5-alpha-androstane steroids.

Application Notes

Optimal dilution of the HSD3B1/2 antibody should be determined by the researcher.

Immunogen

Recombinant human protein (amino acids Q17-Q373) was used as the immunogen for the HSD3B1/2 antibody.

Storage

After reconstitution, the HSD3B1/2 antibody can be stored for up to one month at 4oC. For long-term, aliquot and store at -20oC. Avoid repeated freezing and thawing.

Cross
Bulk Quote Request Form
Name*:
Organization*:
Email*:
Phone Number*:
Catalog No.*:
Comments and Specifics(amount, formulation, etc.)*:
Validation code: Captchapackage Image


Can't read the image? click here to refresh.
    *required field

Your bulk quote request has been submitted successfully!

Please contact us if you have any questions.