• Tel: 858.663.9055
  • SeparatorEmail: info@nsjbio.com
  • Tel: 858.663.9055
  • Email: info@nsjbio.com
Home >> Antibodies >> HSD17B2 Antibody

HSD17B2 Antibody (R30683)

  Catalog No Formulation Size Price (USD)  
Image R30683 0.5mg/ml if reconstituted with 0.2ml sterile DI water 100 ug 439
Bulk quote request
Western blot testing of HSD17B2 antibody and human placenta lysate; Predicted size: 43KD; Observed size: 43KD
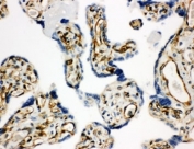
IHC-P: HSD17B2 antibody testing of human placenta tissue
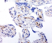
IHC-F testing of human placenta tissue
Availability 1-3 business days
Species Reactivity Human
Format Antigen affinity purified
Clonality Polyclonal (rabbit origin)
Isotype Rabbit IgG
Purity Antigen affinity
Buffer Lyophilized from 1X PBS with 2.5% BSA and 0.025% sodium azide/thimerosal
UniProt P37059
Applications Western Blot : 0.5-1ug/ml
IHC (FFPE) : 0.5-1ug/ml
IHC (Frozen) : 0.5-1ug/ml
Limitations This HSD17B2 antibody is available for research use only.
Review this product on BioCompare and get a $20 Amazon gift card

Related Products

  • Applications : WB, FACS
    Reactivity : Human
  • Applications : WB, FACS, IF, ELISA
    Reactivity : Human, Mouse

Description

HSD17B2(17-beta-hydroxysteroid dehydrogenase II), also called 17-beta-HSD II, is an enzyme with 387 amino acids, a predicted molecular weight of 42,782D, and associate with the membranes of the endoplasmic reticulum. The type 2 enzyme is capable of catalyzing the interconversion of testosterone and androstenedione, as well as estradiol and estrone. HSD17B2 mRNA was detected in 18 of 42 (43%) adenomas but not in prolactinomas. In the human endometrium, inactivation of 17-beta-estradiol to estrone is catalyzed by HSD17B2. And it activity distinguishing between disease-free and diseased endometria. It efficiently catalyzes the oxidative metabolism of androgens and estrogens, and it is expressed in a large series of human peripheral tissues. The previous paradigm that HSD17B2 activity in the endometrium is elevated during the secretory phase is confined to diseased endometrium but not to disease-free endometrium.

Application Notes

The stated application concentrations are suggested starting amounts. Titration of the HSD17B2 antibody may be required due to differences in protocols and secondary/substrate sensitivity.

Immunogen

Amino acids 373-387 (MPRALRMPNYKKKAT-human) were used as the immunogen for this HSD17B2 antibody.

Storage

After reconstitution, the HSD17B2 antibody can be stored for up to one month at 4oC. For long-term, aliquot and store at -20oC. Avoid repeated freezing and thawing.

Cross
Bulk Quote Request Form
Name*:
Organization*:
Email*:
Phone Number*:
Catalog No.*:
Comments and Specifics(amount, formulation, etc.)*:
Validation code: Captchapackage Image


Can't read the image? click here to refresh.
    *required field

Your bulk quote request has been submitted successfully!

Please contact us if you have any questions.