• Tel: 858.663.9055
  • SeparatorEmail: info@nsjbio.com
  • Tel: 858.663.9055
  • Email: info@nsjbio.com
Home >> Antibodies >> HSD17B13 Antibody / DHB13 / 7-beta hydroxysteroid dehydrogenase 13

HSD17B13 Antibody / DHB13 / 7-beta hydroxysteroid dehydrogenase 13 (F55058)

  Catalog No Formulation Size Price (USD)  
Image F55058-0.2ML In 1X PBS, pH 7.4, with 0.09% sodium azide 0.2 ml 429
Image
F55058-0.05ML In 1X PBS, pH 7.4, with 0.09% sodium azide 0.05 ml 199
Bulk quote request
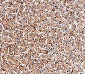
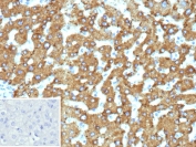
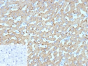
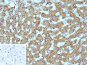
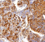
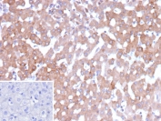
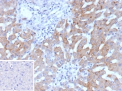
IHC testing of FFPE human liver tissue with HSD17B13 antibody. HIER: steam section in pH9 EDTA buffer for 20 min and allow to cool prior to staining.
Western blot testing of human HepG2 cell lysate with HSD17B13 antibody. Predicted molecular weight: ~34 kDa.
Availability 1-3 business days
Species Reactivity Human
Format Antigen affinity purified
Clonality Polyclonal (rabbit origin)
Isotype Rabbit Ig
Purity Antigen affinity
UniProt Q7Z5P4
Localization Cytoplasm
Applications Western Blot : 1:500-1:1000
Immunohistochemistry (FFPE) : 1:250-1:500
Limitations This HSD17B13 antibody is available for research use only.
Review this product on BioCompare and get a $20 Amazon gift card

Related Products

Description

HSD17B13 protein is an enzyme that plays a key role in the metabolism of steroids and lipids in the body. Specifically, it is involved in the conversion of various hormones and fatty acids, making it a critical player in maintaining metabolic homeostasis. Additionally, studies have shown that mutations or dysregulation of the HSD17B13 gene can lead to impaired lipid metabolism and contribute to the development of liver diseases such as non-alcoholic fatty liver disease (NAFLD) and alcoholic liver disease. HSD17B13 protein is a potential therapeutic target for liver diseases.

Application Notes

Titration of the HSD17B13 antibody may be required due to differences in protocols and secondary/substrate sensitivity.

Immunogen

A portion of amino acids 81-110 from the human protein was used as the immunogen for this HSD17B13 antibody.

Storage

Aliquot the HSD17B13 antibody and store frozen at -20oC or colder. Avoid repeated freeze-thaw cycles.

Cross
Bulk Quote Request Form
Name*:
Organization*:
Email*:
Phone Number*:
Catalog No.*:
Comments and Specifics(amount, formulation, etc.)*:
Validation code: Captchapackage Image


Can't read the image? click here to refresh.
    *required field

Your bulk quote request has been submitted successfully!

Please contact us if you have any questions.