• Tel: 858.663.9055
  • SeparatorEmail: info@nsjbio.com
  • Tel: 858.663.9055
  • Email: info@nsjbio.com
Home >> Antibodies >> HSD17B13 Antibody / 17-beta-HSD 13 / SCDR9

HSD17B13 Antibody / 17-beta-HSD 13 / SCDR9 (RQ8719)

  Catalog No Formulation Size Price (USD)  
Image RQ8719 0.5mg/ml if reconstituted with 0.2ml sterile DI water 100 ug 439
Bulk quote request
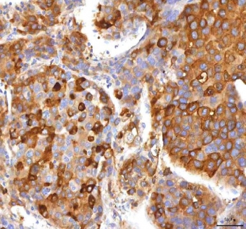
IHC staining of FFPE human liver cancer tissue with HSD17B13 antibody. HIER: boil tissue sections in pH8 EDTA for 20 min and allow to cool before testing.
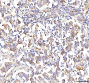
IHC staining of FFPE human pancreas ductal adenocarcinoma tissue with HSD17B13 antibody. HIER: boil tissue sections in pH8 EDTA for 20 min and allow to cool before testing.
IHC staining of FFPE human testicular seminoma tissue with HSD17B13 antibody. HIER: boil tissue sections in pH8 EDTA for 20 min and allow to cool before testing.
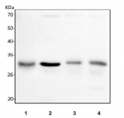
Western blot testing of 1) human HCCP, 2) rat liver, 3) rat RH-35 and 4) mouse liver tissue lysate with HSD17B13 antibody. Predicted molecular weight ~34 kDa (isoform A) and ~30 kDa (isoform B).
Flow cytometry testing of fixed and permeabilized human HepG2 cells with HSD17B13 antibody at 1ug/million cells (blocked with goat sera); Red=cells alone, Green=isotype control, Blue= HSD17B13 antibody.
Availability 1-3 days
Species Reactivity Human, Mouse, Rat
Format Antigen affinity purified
Clonality Polyclonal (rabbit origin)
Isotype Rabbit IgG
Purity Antigen affinity chromatography
Buffer Lyophilized from 1X PBS with 2% Trehalose
UniProt Q7Z5P4
Localization Cytoplasm
Applications Western Blot : 1-2ug/ml
Immunohistochemistry (FFPE) : 2-5ug/ml
Flow Cytometry : 1-3ug/million cells
ELISA : 0.1-0.5ug/ml
Limitations This HSD17B13 antibody is available for research use only.
Review this product on BioCompare and get a $20 Amazon gift card

Related Products

Description

17-beta-Hydroxysteroid dehydrogenase type 13 also known as 17-beta-HSD type 13 is an enzyme that in humans is encoded by the HSD17B13 gene. Hydroxysteroid (17-beta) dehydrogenase 13, also designated Short-chain dehydrogenase/reductase 9 (SCDR9), which regulate the availability of steroids within various tissues throughout the body. HSD17B13 is a 300 amino acid secreted protein that is highly expressed in liver and is also detected in ovary, bone marrow, kidney, brain, lung, skeletal muscle, bladder and testis. The gene encoding HSD17B13 maps to chromosome 4, which houses nearly 6% of the human genome and has the largest gene deserts (regions of the genome with no protein encoding genes) of all of the human chromosomes. Defects in some of the genes located on chromosome 4 are associated with Huntington's disease, Ellis-van Creveld syndrome, methylmalonic acidemia and polycystic kidney disease.

Application Notes

Optimal dilution of the HSD17B13 antibody should be determined by the researcher.

Immunogen

An E.coli-derived human recombinant protein (amino acids R59-K300) was used as the immunogen for the HSD17B13 antibody.

Storage

After reconstitution, the HSD17B13 Antibody can be stored for up to one month at 4oC. For long-term, aliquot and store at -20oC. Avoid repeated freezing and thawing.

Cross
Bulk Quote Request Form
Name*:
Organization*:
Email*:
Phone Number*:
Catalog No.*:
Comments and Specifics(amount, formulation, etc.)*:
Validation code: Captchapackage Image


Can't read the image? click here to refresh.
    *required field

Your bulk quote request has been submitted successfully!

Please contact us if you have any questions.