• Tel: 858.663.9055
  • SeparatorEmail: info@nsjbio.com
  • Tel: 858.663.9055
  • Email: info@nsjbio.com
Home >> Antibodies >> HSC70 Antibody / HSPA8

HSC70 Antibody / HSPA8 (R31940)

  Catalog No Formulation Size Price (USD)  
Image R31940 0.5mg/ml if reconstituted with 0.2ml sterile DI water 100 ug 439
Bulk quote request
Immunofluorescent staining of FFPE human U-2 OS cells with HSC70 antibody (green) and DAPI nuclear stain (blue). HIER: steam section in pH6 citrate buffer for 20 min.
IHC testing of FFPE human breast cancer tissue with HSC70 antibody. HIER: Boil the paraffin sections in pH 6, 10mM citrate buffer for 20 minutes and allow to cool prior to staining.
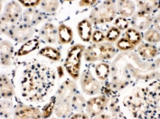
IHC testing of FFPE mouse kidney with HSC70 antibody. HIER: Boil the paraffin sections in pH 6, 10mM citrate buffer for 20 minutes and allow to cool prior to staining.
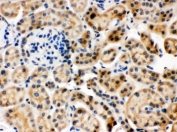
IHC testing of FFPE rat kidney with HSC70 antibody. HIER: Boil the paraffin sections in pH 6, 10mM citrate buffer for 20 minutes and allow to cool prior to staining.
Western blot testing of 1) human HeLa, 2) human HepG2, 3) human Caco-2, 4) human A549, 5) human ThP-1, 6) human K562, 7) human PC-3 and 8) human U-87 MG cell lysate with HSC70 antibody. Predicted molecular weight ~71 kDa, routinely observed at 70-73 kDa.
Flow cytometry testing of fixed human K562 cells with HSC70 antibody at 1ug/million cells (blocked with goat sera); Red=cells alone, Green=isotype control, Blue= HSC70 antibody.
Immunoprecipitation of HSC70 protein from 500ug of human A549 whole cell lysate with 2ug of HSC70 antibody.
Availability 1-3 business days
Species Reactivity Human, Mouse, Rat
Format Antigen affinity purified
Clonality Polyclonal (rabbit origin)
Isotype Rabbit IgG
Purity Antigen affinity
Buffer Lyophilized from 1X PBS with 2.5% BSA and 0.025% sodium azide
UniProt P11142
Applications Western Blot : 0.1-0.5ug/ml
Immunohistochemistry (FFPE) : 0.5-1ug/ml
Immunofluorescence (FFPE) : 2-4ug/ml
Flow Cytometry : 1-3ug/million cells
Immunoprecipitation : 2ug per 500ug of lysate
Limitations This HSC70 antibody is available for research use only.
Review this product on BioCompare and get a $20 Amazon gift card

Related Products

  • Applications : WB
    Reactivity : Human, Mouse, Rat
    Rab Mono Image
  • Applications : WB, IHC-P, IF, FACS
    Reactivity : Human, Mouse, Rat
  • Applications : WB, IHC-P, IHC-F, ICC, IF, FACS
    Reactivity : Human, Mouse, Rat
  • Applications : WB, IHC-P
    Reactivity : Human, Mouse, Rat
  • Applications : WB, IF/ICC, ELISA (peptide)
    Reactivity : Human, Mouse
    Pred. Reactivity : Rat, Dog
  • Applications : WB, FACS, IF, IHC-P
    Reactivity : Human, Mouse, Rat
  • Applications : WB, FACS, IHC-P, IF
    Reactivity : Human, Mouse, Rat
  • Applications : WB, IHC-P
    Reactivity : Zebrafish

Description

HSC70 (also known as HSPA8) is a constitutively expressed member of the HSP70 family that functions as an ATP-dependent chaperone. It binds nascent and stress-denatured polypeptides to promote folding, prevents aggregation, and coordinates protein quality control with co-chaperones such as HSP40/DNAJ and nucleotide exchange factors. HSC70 participates in clathrin uncoating, chaperone-mediated autophagy, and trafficking at membranes, with activity documented in cytosol, nucleus, and organelle-associated compartments.

Through cycles of ATP binding and hydrolysis, HSC70 regulates client stability and turnover, supporting proteostasis during basal growth and under environmental challenges. Its roles in endocytosis, antigen processing, and selective autophagy make it a versatile readout for cell biology, protein homeostasis research, and pathway modulation studies across multiple model systems.

The HSC70 antibody enables specific detection of endogenous HSC70 in applications such as western blot, immunofluorescence, and immunohistochemistry. Researchers use the HSC70 antibody to quantify protein abundance, assess subcellular localization (including clathrin-coated structures), and monitor chaperone engagement following genetic or pharmacologic perturbation. With high specificity and consistent performance, the HSC70 antibody supports rigorous analysis of molecular chaperone function and proteostasis mechanisms.

Application Notes

Optimal dilution of the HSC70 antibody should be determined by the researcher.

Immunogen

Amino acids 520-614 of human HSPA8/HSC70 were used as the immunogen for the HSC70 antibody.

Storage

After reconstitution, the HSC70 antibody can be stored for up to one month at 4oC. For long-term, aliquot and store at -20oC. Avoid repeated freezing and thawing.

Cross
Bulk Quote Request Form
Name*:
Organization*:
Email*:
Phone Number*:
Catalog No.*:
Comments and Specifics(amount, formulation, etc.)*:
Validation code: Captchapackage Image


Can't read the image? click here to refresh.
    *required field

Your bulk quote request has been submitted successfully!

Please contact us if you have any questions.