• Tel: 858.663.9055
  • SeparatorEmail: info@nsjbio.com
  • Tel: 858.663.9055
  • Email: info@nsjbio.com
Home >> Antibodies >> HPX Antibody / Hemopexin

HPX Antibody / Hemopexin (RQ7000)

  Catalog No Formulation Size Price (USD)  
Image RQ7000 0.5mg/ml if reconstituted with 0.2ml sterile DI water 100 ug 439
Bulk quote request
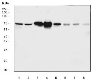
Western blot testing of 1) human HepG2, 2) human HCCT, 3) human HCCP, 4) human placenta, 5) rat liver, 6) rat RH35, 7) mouse liver and 8) mouse HEPA1-6 cell lysate with HPX antibody. Predicted molecular weight: 52-75 kDa depending on glycosylation level.
Availability 1-3 business days
Species Reactivity Human, Mouse, Rat
Format Antigen affinity purified
Clonality Polyclonal (rabbit origin)
Isotype Rabbit IgG
Purity Antigen affinity purified
Buffer Lyophilized from 1X PBS with 2% Trehalose
UniProt P02790
Applications Western Blot : 0.5-1 ug/ml
Direct ELISA : 0.1-0.5ug/ml
Limitations This HPX antibody is available for research use only.
Review this product on BioCompare and get a $20 Amazon gift card

Related Products

Description

Hemopexin (or haemopexin; Hpx; Hx), also known as beta-1B-glycoprotein, is a glycoprotein that in humans is encoded by the HPX gene and belongs to hemopexin family of proteins. This gene encodes a plasma glycoprotein that binds heme with high affinity. The encoded protein is an acute phase protein that transports heme from the plasma to the liver and may be involved in protecting cells from oxidative stress.

Application Notes

Optimal dilution of the HPX antibody should be determined by the researcher.

Immunogen

Recombinant human protein (amino acids V97-A447) was used as the immunogen for the HPX antibody.

Storage

After reconstitution, the HPX antibody can be stored for up to one month at 4oC. For long-term, aliquot and store at -20oC. Avoid repeated freezing and thawing.

Cross
Bulk Quote Request Form
Name*:
Organization*:
Email*:
Phone Number*:
Catalog No.*:
Comments and Specifics(amount, formulation, etc.)*:
Validation code: Captchapackage Image


Can't read the image? click here to refresh.
    *required field

Your bulk quote request has been submitted successfully!

Please contact us if you have any questions.