• Tel: 858.663.9055
  • SeparatorEmail: info@nsjbio.com
  • Tel: 858.663.9055
  • Email: info@nsjbio.com
Home >> Antibodies >> HPV-16 E6 Antibody

HPV-16 E6 Antibody [clone HPV16/1296] (V3488)

  Catalog No Formulation Size Price (USD)  
Image V3488-100UG 0.2 mg/ml in 1X PBS with 0.1 mg/ml BSA (US sourced) and 0.05% sodium azide 100 ug 539
Image
V3488-20UG 0.2 mg/ml in 1X PBS with 0.1 mg/ml BSA (US sourced) and 0.05% sodium azide 20 ug 249
Image
V3488SAF-100UG 1 mg/ml in 1X PBS; BSA free, sodium azide free 100 ug 539
Bulk quote request
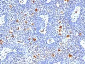
IHC testing of FFPE human cervix with HPV-16 E6 antibody (clone HPV16/1296). Required HIER: boil tissue sections in pH 9 10mM Tris with 1mM EDTA for 10-20 min followed by cooling at RT for 20 min.
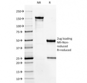
SDS-PAGE analysis of purified, BSA-free HPV-16 E6 antibody (clone HPV16/1296) as confirmation of integrity and purity.
Availability 1-3 business days
Species Reactivity Type 16 of Human Papilloma Virus (HPV-16)
Format Purified
Clonality Monoclonal (mouse origin)
Isotype Mouse IgG2a, kappa
Clone Name HPV16/1296
Purity Protein G affinity chromatography
Localization Nuclear
Applications Immunohistochemistry (FFPE) : 1-2ug/ml for 30 min at RT
Limitations This HPV-16 E6 antibody is available for research use only.
Review this product on BioCompare and get a $20 Amazon gift card

Related Products

Description

Reacts with E6 protein of human papilloma virus type 16 (HPV-16). Infection with specific types of HPV has been associated with an increased risk of developing cervical neoplasia. HPV types 6 and 11 have been associated with relatively benign diseases such as genital warts but types 16 and 18 are strongly associated with cervical, vaginal, and vulvar malignancies. The antibody reacts very strongly with formalin-fixed, paraffin-embedded tissues containing HPV-16.

Application Notes

Optimal dilution of the HPV-16 E6 antibody should be determined by the researcher.

Immunogen

HPV-16 E6 peptide (MHQKRTAMFQDPPQERPRKLPQLC) was used as the immunogen for the HPV-16 E6 antibody.

Storage

Store the HPV-16 E6 antibody at 2-8oC (with azide) or aliquot and store at -20oC or colder (without azide).

Cross
Bulk Quote Request Form
Name*:
Organization*:
Email*:
Phone Number*:
Catalog No.*:
Comments and Specifics(amount, formulation, etc.)*:
Validation code: Captchapackage Image


Can't read the image? click here to refresh.
    *required field

Your bulk quote request has been submitted successfully!

Please contact us if you have any questions.