• Tel: 858.663.9055
  • SeparatorEmail: info@nsjbio.com
  • Tel: 858.663.9055
  • Email: info@nsjbio.com
Home >> Antibodies >> HPGD Antibody / 15-PGDH

HPGD Antibody / 15-PGDH (F54885)

  Catalog No Formulation Size Price (USD)  
Image F54885-0.4ML In 1X PBS, pH 7.4, with 0.09% sodium azide 0.4 ml 429
Image
F54885-0.08ML In 1X PBS, pH 7.4, with 0.09% sodium azide 0.08 ml 199
Bulk quote request
Western blot testing of human placental tissue lysate with HPGD antibody. Predicted molecular weight ~29 kDa.
Western blot testing of human MDA-MB-231 cell lysate with HPGD antibody. Predicted molecular weight ~29 kDa.
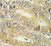
IHC testing of FFPE human colon carcinoma tissue with IRF7 antibody. HIER: steam section in pH6 citrate buffer for 20 min and allow to cool prior to staining.
Flow cytometry testing of human MDA-MB-231 cells with HPGD antibody; Blue=isotype control, Green= HPGD antibody.
Availability 1-3 business days
Species Reactivity Human
Format Purified
Clonality Polyclonal (rabbit origin)
Isotype Rabbit Ig
Purity Purified
UniProt P15428
Localization Cytoplasmic
Applications Flow Cytometry : 1:10-1:50 (1x10e6 cells)
Immunohistochemistry (FFPE) : 1:50-1:100
Western Blot : 1:500-1:1000
Limitations This HPGD antibody is available for research use only.
Review this product on BioCompare and get a $20 Amazon gift card

Related Products

Description

HPGD is a member of the short-chain nonmetalloenzyme alcohol dehydrogenase protein family. This protein is responsible for the metabolism of prostaglandins, which function in a variety of physiologic and cellular processes such as inflammation.

Application Notes

The stated application concentrations are suggested starting points. Titration of the HPGD antibody may be required due to differences in protocols and secondary/substrate sensitivity.

Immunogen

A portion of amino acids 184-212 from the human protein was used as the immunogen for the HPGD antibody.

Storage

Aliquot the HPGD antibody and store frozen at -20oC or colder. Avoid repeated freeze-thaw cycles.

Cross
Bulk Quote Request Form
Name*:
Organization*:
Email*:
Phone Number*:
Catalog No.*:
Comments and Specifics(amount, formulation, etc.)*:
Validation code: Captchapackage Image


Can't read the image? click here to refresh.
    *required field

Your bulk quote request has been submitted successfully!

Please contact us if you have any questions.