• Tel: 858.663.9055
  • SeparatorEmail: info@nsjbio.com
  • Tel: 858.663.9055
  • Email: info@nsjbio.com
Home >> Antibodies >> HOMEZ Antibody

HOMEZ Antibody [clone PCRP-HOMEZ-1A5] (V9202)

  Catalog No Formulation Size Price (USD)  
Image V9202-100UG 0.2 mg/ml in 1X PBS with 0.1 mg/ml BSA (US sourced), 0.05% sodium azide 100 ug 539
Image
V9202-20UG 0.2 mg/ml in 1X PBS with 0.1 mg/ml BSA (US sourced), 0.05% sodium azide 20 ug 249
Image
V9202SAF-100UG 1 mg/ml in 1X PBS; BSA free, sodium azide free 100 ug 539
Microvalidated
Bulk quote request
FACS staining of PFA-fixed human HeLa cells with HOMEZ antibody (blue, clone PCRP-HOMEZ-1A5), and isotype control (red).
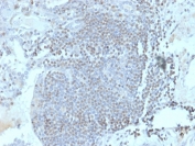
IHC staining of FFPE human lymph node tissue with HOMEZ antibody (clone PCRP-HOMEZ-1A5). HIER: boil tissue sections in pH 9 10mM Tris with 1mM EDTA for 20 min and allow to cool before testing.
Analysis of HuProt(TM) microarray containing more than 19,000 full-length human proteins using HOMEZ antibody (clone PCRP-HOMEZ-1A5). These results demonstrate the foremost specificity of the PCRP-HOMEZ-1A5 mAb. Z- and S- score: The Z-score represents the strength of a signal that an antibody (in combination with a fluorescently-tagged anti-IgG secondary Ab) produces when binding to a particular protein on the HuProt(TM) array. Z-scores are described in units of standard deviations (SD's) above the mean value of all signals generated on that array. If the targets on the HuProt(TM) are arranged in descending order of the Z-score, the S-score is the difference (also in units of SD's) between the Z-scores. The S-score therefore represents the relative target specificity of an Ab to its intended target.
SDS-PAGE analysis of purified, BSA-free HOMEZ antibody (clone PCRP-HOMEZ-1A5) as confirmation of integrity and purity.
Availability 1-3 business days
Species Reactivity Human
Format Purified
Clonality Monoclonal (mouse origin)
Isotype Mouse IgG2b
Clone Name PCRP-HOMEZ-1A5
Purity Protein A/G affinity
UniProt Q8IX15
Localization Nucleus
Applications Flow Cytometry : 1-2ug/million cells
Immunofluorescence : 1-2ug/ml
Immunohistochemistry (FFPE) : 1-2ug/ml
Limitations This HOMEZ antibody is available for research use only.
Review this product on BioCompare and get a $20 Amazon gift card

Related Products

Description

Homeodomain-containing proteins function as transcription factors that typically switch on cascades of other genes. Usually homeodomain proteins act in the promoter region of their target genes as complexes with other transcription factors, leading to much higher target specificity than a single homeodomain protein. HOMEZ (Homeobox and leucine zipper protein) is a 525 amino acid nuclear protein that contains 3 atypical homeodomains, 2 leucine zipper-like motifs, proline and serine-rich motifs and an acidic domain. Within homeodomain 2, it contains a putative nuclear localization signal. HOMEZ shares significant sequence similarity with mouse ZHX1 and sequences that are homologous to HOMEZ are restricted to vertebrates. Likely functioning as a transcription regulator, HOMEZ is ubiquitously expressed with highest levels found in in ovary, testis, kidney, fetal lung and kidney.

Application Notes

Optimal dilution of the HOMEZ antibody should be determined by the researcher.

Immunogen

Recombinant full-length human HOMEZ protein was used as the immunogen for the HOMEZ antibody.

Storage

Aliquot the HOMEZ antibody and store frozen at -20oC or colder. Avoid repeated freeze-thaw cycles.

Cross
Bulk Quote Request Form
Name*:
Organization*:
Email*:
Phone Number*:
Catalog No.*:
Comments and Specifics(amount, formulation, etc.)*:
Validation code: Captchapackage Image


Can't read the image? click here to refresh.
    *required field

Your bulk quote request has been submitted successfully!

Please contact us if you have any questions.