• Tel: 858.663.9055
  • SeparatorEmail: info@nsjbio.com
  • Tel: 858.663.9055
  • Email: info@nsjbio.com
Home >> Antibodies >> HOMER3 Antibody

HOMER3 Antibody (R32981)

  Catalog No Formulation Size Price (USD)  
Image R32981 0.5mg/ml if reconstituted with 0.2ml sterile DI water 100 ug 439
Bulk quote request
Western blot testing of 1) rat brain, 2) mouse brain, 3) human U-87MG (glioma), 4) human Jurkat and 5) human HeLa cell lysate with HOMER3 antibody at 0.5ug/ml. Predicted molecular weight ~40 kDa, can be observed at 45-47 kDa.
IHC testing of FFPE human breast cancer tissue with HOMER3 antibody at 1ug/ml. Required HIER: steam section in pH6 citrate buffer for 20 min and allow to cool prior to testing.
IHC testing of FFPE human intestinal cancer tissue with HOMER3 antibody at 1ug/ml. Required HIER: steam section in pH6 citrate buffer for 20 min and allow to cool prior to testing.
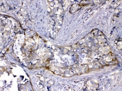
IHC testing of FFPE human lung cancer tissue with HOMER3 antibody at 1ug/ml. Required HIER: steam section in pH6 citrate buffer for 20 min and allow to cool prior to testing.
Availability 1-3 business days
Species Reactivity Human, Mouse, Rat
Format Antigen affinity purified
Clonality Polyclonal (rabbit origin)
Isotype Rabbit IgG
Purity Antigen affinity
Buffer Lyophilized from 1X PBS with 2.5% BSA, 0.025% sodium azide
UniProt Q9NSC5
Localization Cytoplasmic, cell junction
Applications Western Blot : 0.5-1ug/ml
IHC (FFPE) : 1-2ug/ml
Limitations This HOMER3 antibody is available for research use only.
Review this product on BioCompare and get a $20 Amazon gift card

Related Products

  • Applications : WB, FACS
    Reactivity : Human
  • Applications : WB, FACS, IHC-P
    Reactivity : Human, Mouse

Description

Homer protein homolog 3 is a protein that in humans is encoded by the HOMER3 gene. This gene encodes a member of the HOMER family of postsynaptic density scaffolding proteins that share a similar domain structure consisting of an N-terminal Enabled/vasodilator-stimulated phosphoprotein homology 1 domain which mediates protein-protein interactions, and a carboxy-terminal coiled-coil domain and two leucine zipper motifs that are involved in self-oligomerization. The encoded protein binds numerous other proteins including group I metabotropic glutamate receptors, inositol 1,4,5-trisphosphate receptors and amyloid precursor proteins and has been implicated in diverse biological functions such as neuronal signaling, T-cell activation and trafficking of amyloid beta peptides.

Application Notes

Optimal dilution of the HOMER3 antibody should be determined by the researcher.

Immunogen

A recombinant human protein corresponding to amino acids R282-A360 was used as the immunogen for the HOMER3 antibody.

Storage

After reconstitution, the HOMER3 antibody can be stored for up to one month at 4oC. For long-term, aliquot and store at -20oC. Avoid repeated freezing and thawing.

Cross
Bulk Quote Request Form
Name*:
Organization*:
Email*:
Phone Number*:
Catalog No.*:
Comments and Specifics(amount, formulation, etc.)*:
Validation code: Captchapackage Image


Can't read the image? click here to refresh.
    *required field

Your bulk quote request has been submitted successfully!

Please contact us if you have any questions.