• Tel: 858.663.9055
  • SeparatorEmail: info@nsjbio.com
  • Tel: 858.663.9055
  • Email: info@nsjbio.com
Home >> Antibodies >> HOMER1 Antibody / SYN47

HOMER1 Antibody / SYN47 (RQ6488)

  Catalog No Formulation Size Price (USD)  
Image RQ6488 0.5mg/ml if reconstituted with 0.2ml sterile DI water 100 ug 439
Bulk quote request
Flow cytometry testing of human A549 cells with HOMER1 antibody at 1ug/million cells (blocked with goat sera); Red=cells alone, Green=isotype control, Blue= HOMER1 antibody.
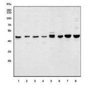
Western blot testing of human 1) HepG2, 2) COLO-320, 3) Jurkat, 4) K562, 5) A549, 6) U-87 MG, 7) rat brain and 8) mouse brain lysate with HOMER1 antibody. Expected molecular weight: 40-50 kDa.
Availability 1-3 business days
Species Reactivity Human, Mouse, Rat
Format Antigen affinity purified
Clonality Polyclonal (rabbit origin)
Isotype Rabbit IgG
Purity Affinity purified
Buffer Lyophilized from 1X PBS with 2% Trehalose
UniProt Q86YM7
Applications Western Blot : 1-2ug/ml
Flow Cytometry : 1-3ug/million cells
Direct ELISA : 0.1-0.5ug/ml
Limitations This HOMER1 antibody is available for research use only.
Review this product on BioCompare and get a $20 Amazon gift card

Related Products

Description

Homer protein homolog 1 or Homer1 is a neuronal protein that in humans is encoded by the HOMER1 gene. This gene encodes a member of the homer family of dendritic proteins. Members of this family regulate group 1 metabotrophic glutamate receptor function.

Application Notes

Optimal dilution of the HOMER1 antibody should be determined by the researcher.

Immunogen

An E. coli-derived human protein (amino acids D135-S354) was used as the immunogen for the HOMER1 antibody.

Storage

After reconstitution, the HOMER1 antibody can be stored for up to one month at 4oC. For long-term, aliquot and store at -20oC. Avoid repeated freezing and thawing.

Cross
Bulk Quote Request Form
Name*:
Organization*:
Email*:
Phone Number*:
Catalog No.*:
Comments and Specifics(amount, formulation, etc.)*:
Validation code: Captchapackage Image


Can't read the image? click here to refresh.
    *required field

Your bulk quote request has been submitted successfully!

Please contact us if you have any questions.