• Tel: 858.663.9055
  • SeparatorEmail: info@nsjbio.com
  • Tel: 858.663.9055
  • Email: info@nsjbio.com
Home >> Antibodies >> HO-2 Antibody / Heme oxygenase 2 / HMOX2

HO-2 Antibody / Heme oxygenase 2 / HMOX2 (RQ7367)

  Catalog No Formulation Size Price (USD)  
Image RQ7367 0.5mg/ml if reconstituted with 0.2ml sterile DI water 100 ug 439
Bulk quote request
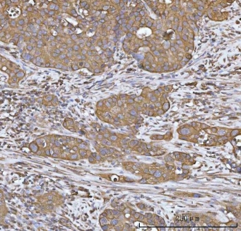
IHC staining of FFPE human appendiceal adenocarcinoma tissue with HO-2 antibody. HIER: boil tissue sections in pH8 EDTA for 20 min and allow to cool before testing.
IHC staining of FFPE human ovary tissue with HO-2 antibody. HIER: boil tissue sections in pH8 EDTA for 20 min and allow to cool before testing.
IHC staining of FFPE human lung squamous cell carcinoma tissue with HO-2 antibody. HIER: boil tissue sections in pH8 EDTA for 20 min and allow to cool before testing.
Immunofluorescent staining of FFPE human MCF7 cells with HO-2 antibody (green) and DAPI nuclear stain (blue). HIER: steam section in pH6 citrate buffer for 20 min.
Western blot testing of human 1) Jurkat, 2) HeLa, 3) K562 and 4) PANC-1 cell lysate with HO-2 antibody. Predicted molecular weight ~36 kDa.
Flow cytometry testing of human MCF7 cells with HO-2 antibody at 1ug/million cells (blocked with goat sera); Red=cells alone, Green=isotype control, Blue= HO-2 antibody.
Availability 1-3 business days
Species Reactivity Human
Format Antigen affinity purified
Clonality Polyclonal (rabbit origin)
Isotype Rabbit IgG
Purity Antigen affinity purified
Buffer Lyophilized from 1X PBS with 2% Trehalose
UniProt P30519
Localization Cytoplasmic (ER)
Applications Western Blot : 0.5-1ug/ml
Immunohistochemistry (FFPE) : 2-5ug/ml
Immunofluorescence : 5ug/ml
Flow Cytometry : 1-3ug/million cells
Direct ELISA : 0.1-0.5ug/ml
Limitations This HO-2 antibody is available for research use only.
Review this product on BioCompare and get a $20 Amazon gift card

Related Products

Description

Heme oxygenase 2 (HMOX2), also known as HO-2, is an enzyme that in humans is encoded by the HMOX2 gene. It is mapped to 16p13.3. HMOX2 belongs to the heme oxygenase family. Heme oxygenase cleaves the heme ring at the alpha methene bridge to form biliverdin. Biliverdin is subsequently converted to bilirubin by biliverdin reductase. Under physiological conditions, the activity of heme oxygenase is highest in the spleen, where senescent erythrocytes are sequestrated and destroyed. Heme oxygenase 2 could be implicated in the production of carbon monoxide in brain where it could act as a neurotransmitter.

Application Notes

Optimal dilution of the HO-2 antibody should be determined by the researcher.

Immunogen

Recombinant human protein (amino acids H45-A301) was used as the immunogen for the HO-2 antibody.

Storage

After reconstitution, the HO-2 antibody can be stored for up to one month at 4oC. For long-term, aliquot and store at -20oC. Avoid repeated freezing and thawing.

Cross
Bulk Quote Request Form
Name*:
Organization*:
Email*:
Phone Number*:
Catalog No.*:
Comments and Specifics(amount, formulation, etc.)*:
Validation code: Captchapackage Image


Can't read the image? click here to refresh.
    *required field

Your bulk quote request has been submitted successfully!

Please contact us if you have any questions.