• Tel: 858.663.9055
  • SeparatorEmail: info@nsjbio.com
  • Tel: 858.663.9055
  • Email: info@nsjbio.com
Home >> Antibodies >> HNRNPM Antibody / heterogeneous nuclear ribonucleoprotein M

HNRNPM Antibody / heterogeneous nuclear ribonucleoprotein M [clone 29H77] (FY12075)

  Catalog No Formulation Size Price (USD)  
Image FY12075 Rabbit IgG in phosphate buffered saline, pH 7.4, 150mM NaCl, 0.02% sodium azide and 50% glycerol, 0.4-0.5mg/ml BSA 100 ul 439
Microvalidated Recrabbitmono
Bulk quote request
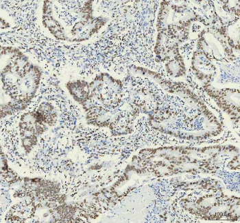
IHC analysis of HNRNPM using anti-HNRNPM antibody. HNRNPM was detected in a paraffin-embedded section of human rectal cancer tissue. Heat mediated antigen retrieval was performed in EDTA buffer (pH 8.0, epitope retrieval solution). The tissue section was blocked with 10% goat serum. The tissue section was then incubated with 1:50 rabbit anti-HNRNPM antibody overnight at 4oC. Peroxidase Conjugated Goat Anti-rabbit IgG was used as secondary antibody and incubated for 30 minutes at 37oC. The tissue section was developed using an HRP secondary and DAB substrate.
Western blot analysis of HNRNPM using anti-HNRNPM antibody. Lane 1: human Hela whole cell lysates, Lane 2: human Jurkat whole cell lysates, Lane 3: human HepG2 whole cell lysates, Lane 4: human MCF-7 whole cell lysates, Lane 5: rat liver tissue lysates, Lane 6: rat lung tissue lysates, Lane 7: mouse liver tissue lysates, Lane 8: mouse lung tissue lysates. After electrophoresis, proteins were transferred to a nitrocellulose membrane at 150 mA for 50-90 minutes. Blocked the membrane with 5% non-fat milk/TBS for 1.5 hour at RT. The membrane was incubated with rabbit anti-HNRNPM antibody at 1:500 overnight at 4oC, then washed with TBS-0.1%Tween 3 times with 5 minutes each and probed with a goat anti-rabbit IgG-HRP secondary antibody at a dilution of 1:5000 for 1.5 hour at RT. The signal was developed using enhanced chemiluminescent. The expected band size for HNRNPM is at 76 kDa. The protein is often observed as a doublet or triplet, corresponding to co-expression of splice variants and phosphorylation states.
IHC analysis of HNRNPM using anti-HNRNPM antibody. HNRNPM was detected in a paraffin-embedded section of human stomach cancer tissue. Heat mediated antigen retrieval was performed in EDTA buffer (pH 8.0, epitope retrieval solution). The tissue section was blocked with 10% goat serum. The tissue section was then incubated with 1:50 rabbit anti-HNRNPM antibody overnight at 4oC. Peroxidase Conjugated Goat Anti-rabbit IgG was used as secondary antibody and incubated for 30 minutes at 37oC. The tissue section was developed using an HRP secondary and DAB substrate.
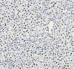
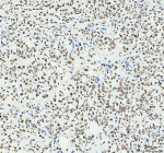
IHC analysis of HNRNPM using anti-HNRNPM antibody. HNRNPM was detected in a paraffin-embedded section of mouse liver tissue. Heat mediated antigen retrieval was performed in EDTA buffer (pH 8.0, epitope retrieval solution). The tissue section was blocked with 10% goat serum. The tissue section was then incubated with 1:50 rabbit anti-HNRNPM antibody overnight at 4oC. Peroxidase Conjugated Goat Anti-rabbit IgG was used as secondary antibody and incubated for 30 minutes at 37oC. The tissue section was developed using an HRP secondary and DAB substrate.
IHC analysis of HNRNPM using anti-HNRNPM antibody. HNRNPM was detected in a paraffin-embedded section of rat liver tissue. Heat mediated antigen retrieval was performed in EDTA buffer (pH 8.0, epitope retrieval solution). The tissue section was blocked with 10% goat serum. The tissue section was then incubated with 1:50 rabbit anti-HNRNPM antibody overnight at 4oC. Peroxidase Conjugated Goat Anti-rabbit IgG was used as secondary antibody and incubated for 30 minutes at 37oC. The tissue section was developed using an HRP secondary and DAB substrate.
Availability 2-3 weeks
Species Reactivity Human, Mouse, Rat
Format Liquid
Clonality Recombinant Rabbit Monoclonal
Isotype Rabbit IgG
Clone Name 29H77
Purity Affinity-chromatography
Buffer Rabbit IgG in phosphate buffered saline, pH 7.4, 150mM NaCl, 0.02% sodium azide and 50% glycerol, 0.4-0.5mg/ml BSA.
UniProt P52272
Localization Nuclear
Applications Western Blot : 1:500-1:2000
Immunohistochemistry : 1:50-1:200
Immunocytochemistry/Immunofluorescence : 1:50-1:200
Flow Cytometry : 1:50
Limitations This HNRNPM antibody is available for research use only.
Review this product on BioCompare and get a $20 Amazon gift card

Description

HNRNPM antibody recognizes heterogeneous nuclear ribonucleoprotein M, an RNA-binding protein involved in pre-mRNA processing and splicing regulation. HNRNPM is part of the hnRNP family, which associates with nascent transcripts to influence alternative splicing, stability, transport, and translation. This protein is widely expressed and contributes to the regulation of diverse gene expression programs in normal development and stress adaptation.

Research using HNRNPM antibody has linked the protein to cancer progression and metastasis. By regulating alternative splicing of genes related to epithelial-to-mesenchymal transition (EMT), HNRNPM promotes tumor invasiveness and metastatic potential. Elevated expression of HNRNPM has been associated with poor prognosis in breast, colorectal, and liver cancers. Its role in RNA processing makes it a critical factor in understanding how splicing dysregulation contributes to oncogenesis.

Beyond cancer, HNRNPM has been implicated in immune function and neurobiology. Studies suggest roles in regulating splicing of immune-related transcripts and neuronal genes, connecting HNRNPM to autoimmune conditions and neurological disorders. Its widespread impact on RNA metabolism positions HNRNPM as an important regulator of cellular identity and function.

Antibodies against HNRNPM are validated for western blot, immunoprecipitation, immunohistochemistry, and immunofluorescence. Researchers use these reagents to analyze HNRNPM expression, splicing complex assembly, and transcript-specific binding. Clone-based antibodies offer the specificity needed to study this protein within large multi-protein RNA processing complexes.

NSJ Bioreagents offers this HNRNPM antibody for investigations into RNA splicing, cancer biology, and immune regulation.

Application Notes

Optimal dilution of the HNRNPM antibody should be determined by the researcher.

Immunogen

A synthesized peptide derived from human HNRNPM was used as the immunogen for the HNRNPM antibody.

Storage

Store the HNRNPM antibody at -20oC.

Cross
Bulk Quote Request Form
Name*:
Organization*:
Email*:
Phone Number*:
Catalog No.*:
Comments and Specifics(amount, formulation, etc.)*:
Validation code: Captchapackage Image


Can't read the image? click here to refresh.
    *required field

Your bulk quote request has been submitted successfully!

Please contact us if you have any questions.