• Tel: 858.663.9055
  • SeparatorEmail: info@nsjbio.com
  • Tel: 858.663.9055
  • Email: info@nsjbio.com
Home >> Antibodies >> hnRNP A1 Antibody / HNRNPA1

hnRNP A1 Antibody / HNRNPA1 (R32607)

  Catalog No Formulation Size Price (USD)  
Image R32607 0.5mg/ml if reconstituted with 0.2ml sterile DI water 100 ug 439
Bulk quote request
Immunofluorescent staining of FFPE human rectal cancer with hnRNP A1 antibody (green) and DAPI nuclear stain (blue). HIER: steam section in pH8 EDTA for 20 min.
IHC testing of human intestinal cancer with hnRNP A1 antibody at 1ug/ml. HIER: steam section in pH6 citrate buffer for 20 min.
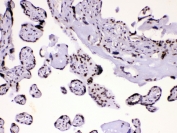
IHC testing of human placental tissue with hnRNP A1 antibody at 1ug/ml. HIER: steam section in pH6 citrate buffer for 20 min.
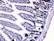
IHC testing of mouse intestine tissue with hnRNP A1 antibody at 1ug/ml. HIER: steam section in pH6 citrate buffer for 20 min.
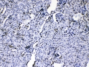
IHC testing of mouse kidney tissue with hnRNP A1 antibody at 1ug/ml. HIER: steam section in pH6 citrate buffer for 20 min.
IHC testing of rat kidney tissue with hnRNP A1 antibody at 1ug/ml. HIER: steam section in pH6 citrate buffer for 20 min.
Western blot testing of human 1) HepG2, 2) Daudi, 3) MOLT4 and 4) HL60 cell lysate with hnRNP A1 antibody. Expected molecular weight: 29-39 kDa (multiple isoforms).
Immunofluorescent staining of FFPE human A431 cells with hnRNP A1 antibody (red) and DAPI nuclear stain (blue). HIER: steam section in pH6 citrate buffer for 20 min.
Immunofluorescent staining of FFPE human U-2 OS cells with hnRNP A1 antibody (red) and DAPI nuclear stain (blue). HIER: steam section in pH6 citrate buffer for 20 min.
Flow cytometry testing of human K562 cells with hnRNP A1 antibody at 1ug/million cells (blocked with goat sera); Red=cells alone, Green=isotype control, Blue= hnRNP A1 antibody.
Immunofluorescent staining of FFPE mouse brain tissue with hnRNP A1 antibody. HIER: steam section in pH6 citrate buffer for 20 min.
Immunofluorescent staining of FFPE rat brain tissue with hnRNP A1 antibody. HIER: steam section in pH6 citrate buffer for 20 min.
Availability 1-3 business days
Species Reactivity Human, Mouse, Rat
Format Antigen affinity purified
Clonality Polyclonal (rabbit origin)
Isotype Rabbit IgG
Purity Antigen affinity
Buffer Lyophilized from 1X PBS with 2% Trehalose and 0.025% sodium azide
UniProt P09651
Localization Nuclear, cytoplasmic
Applications Western Blot : 0.5-1ug/ml
Immunohistochemistry (FFPE) : 1-2ug/ml
Immunofluorescence (FFPE) : 5ug/ml
Flow Cytometry : 1-3ug/million cells
Limitations This hnRNP A1 antibody is available for research use only.
Review this product on BioCompare and get a $20 Amazon gift card

Related Products

Description

Heterogeneous nuclear ribonucleoprotein A1 is a protein that in humans is encoded by the HNRNPA1 gene. This gene encodes a member of a family of ubiquitously expressed heterogeneous nuclear ribonucleoproteins (hnRNPs), which are RNA-binding proteins that associate with pre-mRNAs in the nucleus and influence pre-mRNA processing, as well as other aspects of mRNA metabolism and transport. The protein encoded by this gene is one of the most abundant core proteins of hnRNP complexes and plays a key role in the regulation of alternative splicing. Mutations in this gene have been observed in individuals with amyotrophic lateral sclerosis 20. Multiple alternatively spliced transcript variants have been found. There are numerous pseudogenes of this gene distributed throughout the genome.

Application Notes

Optimal dilution of the hnRNP A1 antibody should be determined by the researcher.

Immunogen

Amino acids 8-42 (KEPEQLRKLFIGGLSFETTDESLRSHFEQWGTLTD) were used as the immunogen for the hnRNP A1 antibody.

Storage

After reconstitution, the hnRNP A1 antibody can be stored for up to one month at 4oC. For long-term, aliquot and store at -20oC. Avoid repeated freezing and thawing.

Cross
Bulk Quote Request Form
Name*:
Organization*:
Email*:
Phone Number*:
Catalog No.*:
Comments and Specifics(amount, formulation, etc.)*:
Validation code: Captchapackage Image


Can't read the image? click here to refresh.
    *required field

Your bulk quote request has been submitted successfully!

Please contact us if you have any questions.