• Tel: 858.663.9055
  • SeparatorEmail: info@nsjbio.com
  • Tel: 858.663.9055
  • Email: info@nsjbio.com
Home >> Antibodies >> HNF1A Antibody

HNF1A Antibody [clone HNF1A/2087] (V7353)

  Catalog No Formulation Size Price (USD)  
Image V7353-100UG 0.2 mg/ml in 1X PBS with 0.1 mg/ml BSA (US sourced) and 0.05% sodium azide 100 ug 539
Image
V7353-20UG 0.2 mg/ml in 1X PBS with 0.1 mg/ml BSA (US sourced) and 0.05% sodium azide 20 ug 249
Image
V7353SAF-100UG 1 mg/ml in 1X PBS; BSA free, sodium azide free 100 ug 539
Image
V7353IHC-7ML Prediluted in 1X PBS with 0.1 mg/ml BSA (US sourced) and 0.05% sodium azide; *For IHC use only* 7 ml 539
Microvalidated
Bulk quote request
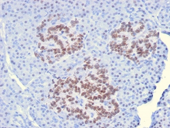
IHC staining of FFPE human pancreas with HNF1A antibody. HIER: boil tissue sections in pH6, 10mM citrate buffer, for 10-20 min and allow to cool before testing.
IHC staining of FFPE human pancreas with HNF1A antibody. HIER: boil tissue sections in pH6, 10mM citrate buffer, for 10-20 min and allow to cool before testing.
IHC staining of FFPE human small intestine with HNF1A antibody. HIER: boil tissue sections in pH6, 10mM citrate buffer, for 10-20 min and allow to cool before testing.
Analysis of HuProt(TM) microarray containing more than 19,000 full-length human proteins using HNF1A antibody (clone HNF1A/2087). These results demonstrate the foremost specificity of the HNF1A/2087 mAb.
Z- and S- score: The Z-score represents the strength of a signal that an antibody (in combination with a fluorescently-tagged anti-IgG secondary Ab) produces when binding to a particular protein on the HuProt(TM) array. Z-scores are described in units of standard deviations (SD's) above the mean value of all signals generated on that array. If the targets on the HuProt(TM) are arranged in descending order of the Z-score, the S-score is the difference (also in units of SD's) between the Z-scores. The S-score therefore represents the relative target specificity of an Ab to its intended target.
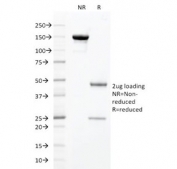
SDS-PAGE analysis of purified, BSA-free HNF1A antibody as confirmation of integrity and purity.
Availability 1-3 business days
Species Reactivity Human
Format Purified
Clonality Monoclonal (mouse origin)
Isotype Mouse IgG1, kappa
Clone Name HNF1A/2087
Purity Protein G affinity chromatography
UniProt P20823
Localization Nuclear
Applications ELISA : order BSA/sodium azide-free format for coating
Immunohistochemistry (FFPE) : 1-2ug/ml for 30 min at RT
Limitations This HNF1A antibody is available for research use only.
Review this product on BioCompare and get a $20 Amazon gift card

Related Products

  • Applications : IHC-P
    Reactivity : Human
  • Applications : WB
    Reactivity : Human
  • Applications : WB, IF, ELISA
    Reactivity : Human, Mouse
    Pred. Reactivity : Rat

Description

HNF1A belongs to the homeobox protein family and is an essential transcription factor for many hepatic genes involved in detoxification, homeostasis and metabolisms of glucose, lipid, steroid and amino acid. In addition, HNF1A is an important component of the transcriptional networks governing embryonic pancreas development and differentiation. as well as maintaining the growth and function of islet cells in adult. HNF1A (Hepatocyte nuclear factor 1 alpha) is a transcription factor that is known to regulate pancreatic differentiation and maintain homeostasis of endocrine pancreas. Recently, genome-wide association studies have implicated HNF1A as a susceptibility gene for pancreatic cancer.

Application Notes

Optimal dilution of the HNF1A antibody should be determined by the researcher.

1. The prediluted format is supplied in a dropper bottle and is optimized for use in IHC. After epitope retrieval step (if required), drip mAb solution onto the tissue section and incubate at RT for 30 min.

Immunogen

A portion of amino acids 214-339 from the human protein was used as the immunogen for the HNF1A antibody.

Storage

Store the HNF1A antibody at 2-8oC (with azide) or aliquot and store at -20oC or colder (without azide).

Cross
Bulk Quote Request Form
Name*:
Organization*:
Email*:
Phone Number*:
Catalog No.*:
Comments and Specifics(amount, formulation, etc.)*:
Validation code: Captchapackage Image


Can't read the image? click here to refresh.
    *required field

Your bulk quote request has been submitted successfully!

Please contact us if you have any questions.