• Tel: 858.663.9055
  • SeparatorEmail: info@nsjbio.com
  • Tel: 858.663.9055
  • Email: info@nsjbio.com
Home >> Antibodies >> HMGCR Antibody

HMGCR Antibody [clone AOCC-8] (RQ5027)

  Catalog No Formulation Size Price (USD)  
Image RQ5027 Antibody in PBS with 0.02% sodium azide, 50% glycerol and 0.4-0.5mg/ml BSA 100 ul 439
Microvalidated Rab Mono Image
Bulk quote request
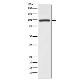
Western blot testing of human Jurkat cell lysate with HMGCR antibody. Predicted molecular weight ~97 kDa.
Availability 1-2 weeks
Species Reactivity Human
Format Purified
Clonality Rabbit Monoclonal
Isotype Rabbit IgG
Clone Name AOCC-8
Purity Affinity purified
UniProt P04035
Applications Western Blot : 1:500-1:2000
Limitations This HMGCR antibody is available for research use only.
Review this product on BioCompare and get a $20 Amazon gift card

Related Products

Description

'3-hydroxy-3-methylglutaryl-coenzyme A reductase' is a transmembrane glycoprotein that is the rate-limiting enzyme in cholesterol biosynthesis as well as in the biosynthesis of nonsterol isoprenoids that are essential for normal cell function including ubiquinone and geranylgeranyl proteins.

Application Notes

Optimal dilution of the HMGCR antibody should be determined by the researcher.

Immunogen

A synthetic peptide specific to human Hmg Coa Reductase / HMGCR was used as the immunogen for the HMGCR antibody.

Storage

Store the HMGCR antibody at -20oC.

Cross
Bulk Quote Request Form
Name*:
Organization*:
Email*:
Phone Number*:
Catalog No.*:
Comments and Specifics(amount, formulation, etc.)*:
Validation code: Captchapackage Image


Can't read the image? click here to refresh.
    *required field

Your bulk quote request has been submitted successfully!

Please contact us if you have any questions.