• Tel: 858.663.9055
  • SeparatorEmail: info@nsjbio.com
  • Tel: 858.663.9055
  • Email: info@nsjbio.com
Home >> Antibodies >> HMBS Antibody / Hydroxymethylbilane synthase

HMBS Antibody / Hydroxymethylbilane synthase (RQ4407)

  Catalog No Formulation Size Price (USD)  
Image RQ4407 0.5mg/ml if reconstituted with 0.2ml sterile DI water 100 ug 439
Bulk quote request
Western blot testing of human 1) HeLa, 2) placenta, 3) HepG2, 4) 22RV1 and 5) U-2 OS cell lysate with HMBS antibody at 0.5ug/ml. Predicted molecular weight: ~39 kDa.
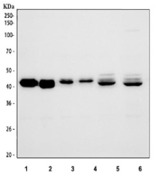
Western blot testing of 1) human HEL, 2) human K562, 3) human MCF7, 4) human Caco-2, 5) rat spleen and 6) mouse spleen tissue lysate with HMBS antibody at 0.5ug/ml. Predicted molecular weight: ~39 kDa.
Availability 1-3 business days
Species Reactivity Human, Mouse, Rat
Format Antigen affinity purified
Clonality Polyclonal (rabbit origin)
Isotype Rabbit IgG
Purity Antigen affinity purified
Buffer Lyophilized from 1X PBS with 2% Trehalose
UniProt P08397
Applications Western Blot : 0.5-1ug/ml
Direct ELISA : 0.1-0.5ug/ml (recombinant human protein) (BSA-free format available)
Limitations This HMBS antibody is available for research use only.
Review this product on BioCompare and get a $20 Amazon gift card

Related Products

Description

HMBS (Porphobilinogen deaminase) is a key enzyme in the heme biosynthesis pathway, catalyzing the conversion of porphobilinogen into hydroxymethylbilane. Deficiency of HMBS activity is associated with metabolic disorders such as acute intermittent porphyria, making this protein highly relevant in both clinical and biochemical research. A HMBS antibody is widely used to examine its expression and function in heme metabolism studies.

The HMBS protein plays an essential role in maintaining cellular heme levels, which are critical for oxygen transport, electron transfer, and enzymatic processes. Monitoring HMBS activity helps in understanding disorders caused by impaired heme biosynthesis. A HMBS antibody provides researchers with a dependable tool to detect protein distribution and assess regulation under different metabolic states.

NSJ Bioreagents offers a high-quality HMBS antibody designed to support investigations into metabolic pathways, enzymatic function, and disease mechanisms related to heme biosynthesis.

Application Notes

Optimal dilution of the HMBS antibody should be determined by the researcher.

Immunogen

A human partial recombinant protein corresponding to amino acids N6-H361 was used as the immunogen for the HMBS antibody.

Storage

After reconstitution, the HMBS antibody can be stored for up to one month at 4oC. For long-term, aliquot and store at -20oC. Avoid repeated freezing and thawing.

Cross
Bulk Quote Request Form
Name*:
Organization*:
Email*:
Phone Number*:
Catalog No.*:
Comments and Specifics(amount, formulation, etc.)*:
Validation code: Captchapackage Image


Can't read the image? click here to refresh.
    *required field

Your bulk quote request has been submitted successfully!

Please contact us if you have any questions.