• Tel: 858.663.9055
  • SeparatorEmail: info@nsjbio.com
  • Tel: 858.663.9055
  • Email: info@nsjbio.com
Home >> Antibodies >> HLA-G Antibody

HLA-G Antibody (F51441)

  Catalog No Formulation Size Price (USD)  
Image F51441-0.4ML In 1X PBS, pH 7.4, with 0.09% sodium azide 0.4 ml 429
Image
F51441-0.08ML In 1X PBS, pH 7.4, with 0.09% sodium azide 0.08 ml 199
Bulk quote request
Western blot analysis of HLA-G antibody and 293 cell lysate either nontransfected (Lane 1) or transiently transfected (2) with the HLA-G gene.
Western blot analysis of HLA-G antibody and NCI-H460 lysate. Predicted molecular weight ~40 kDa.
Western blot analysis of lysate from human placenta tissue lysate using HLA-G antibody diluted at 1:1000.
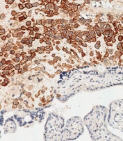
IHC analysis of FFPE human lung carcinoma stained with HLA-G antibody
HLA-G antibody flow cytometry analysis of NCI-H460 cells (bottom histogram) compared to a negative control (top histogram). FITC-conjugated goat-anti-rabbit secondary Ab was used for the analysis.
IHC analysis of FFPE human placenta stained with HLA-G antibody. HIER: boil tissue sections in pH 9 EDTA buffer for 20 min and allow to cool before testing.
Availability 1-3 business days
Species Reactivity Human
Format Antigen affinity purified
Clonality Polyclonal (rabbit origin)
Isotype Rabbit Ig
Purity Antigen affinity
UniProt P17693
Applications Western Blot : 1:1000
IHC (Paraffin) : 1:10-1:50
Flow Cytometry : 1:10-1:50
Limitations This HLA-G antibody is available for research use only.
Review this product on BioCompare and get a $20 Amazon gift card

Related Products

Description

HLA-G belongs to the HLA class I heavy chain paralogues. This class I molecule is a heterodimer consisting of a heavy chain and a light chain (beta-2 microglobulin). The heavy chain is anchored in the membrane. HLA-G is expressed on fetal derived placental cells. The heavy chain is approximately 45 kDa and its gene contains 8 exons. Exon one encodes the leader peptide, exons 2 and 3 encode the alpha1 and alpha2 domain, which both bind the peptide, exon 4 encodes the alpha3 domain, exon 5 encodes the transmembrane region, and exon 6 encodes the cytoplasmic tail.

Application Notes

Titration of the HLA-G antibody may be required due to differences in protocols and secondary/substrate sensitivity.

Immunogen

A portion of amino acids 62-89 from the human protein was used as the immunogen for this HLA-G antibody.

Storage

Aliquot the HLA-G antibody and store frozen at -20oC or colder. Avoid repeated freeze-thaw cycles.

Cross
Bulk Quote Request Form
Name*:
Organization*:
Email*:
Phone Number*:
Catalog No.*:
Comments and Specifics(amount, formulation, etc.)*:
Validation code: Captchapackage Image


Can't read the image? click here to refresh.
    *required field

Your bulk quote request has been submitted successfully!

Please contact us if you have any questions.