• Tel: 858.663.9055
  • SeparatorEmail: info@nsjbio.com
  • Tel: 858.663.9055
  • Email: info@nsjbio.com
Home >> Antibodies >> HLA-DRB1 Antibody (MHC II)

HLA-DRB1 Antibody (MHC II) [clone LN3] (V2586)

  Catalog No Formulation Size Price (USD)  
Image V2586-100UG 0.2 mg/ml in 1X PBS with 0.1 mg/ml BSA (US sourced) and 0.05% sodium azide 100 ug 539
Image
V2586-20UG 0.2 mg/ml in 1X PBS with 0.1 mg/ml BSA (US sourced) and 0.05% sodium azide 20 ug 249
Image
V2586SAF-100UG 1 mg/ml in 1X PBS; BSA free, sodium azide free 100 ug 539
Image
V2586IHC-7ML Prediluted in 1X PBS with 0.1 mg/ml BSA (US sourced) and 0.05% sodium azide; *For IHC use only* 7 ml 539
Bulk quote request
Immunofluorescent staining of human Ramos cells with HLA-DRB1 antibody (clone LN3, green) and Reddot nuclear stain (red).
IHC staining of FFPE human tonsil tissue with HLA-DRB1 antibody (clone LN3). HIER: boil tissue sections in pH 9 10mM Tris with 1mM EDTA for 20 min and allow to cool before testing.
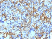
IHC staining of FFPE human histiocytoma tissue with HLA-DRB1 antibody (clone LN3). HIER: boil tissue sections in pH 9 10mM Tris with 1mM EDTA for 20 min and allow to cool before testing.
Western blot testing of human Ramos cell lysate with HLA-DRB1 antibody (clone LN3). Expected molecular weight ~30 kDa.
Western blot testing of human Ramos and spleen cell lysate with HLA-DRB1 antibody (clone LN3). Expected molecular weight ~30 kDa.
Flow cytometry staining of human Raji cells with HLA-DRB1 antibody; Red=isotype control, Blue= HLA-DRB1 antibody.
Availability 1-3 business days
Species Reactivity Human
Format Purified
Clonality Monoclonal (mouse origin)
Isotype Mouse IgG2b, kappa
Clone Name LN3
Purity Protein G affinity chromatography
UniProt P01911
Localization Cytoplasmic, membranous
Applications Flow Cytometry : 1-2ug/10^6 cells
Immunofluorescence : 1-3ug/ml
Western Blot : 2-4ug/ml
Immunohistochemistry (FFPE) : 1-2ug/ml for 30 min at RT
Limitations This HLA-DRB1 antibody is available for research use only.
Review this product on BioCompare and get a $20 Amazon gift card

Related Products

Description

HLA-DRB1 antibody clone LN3 is a monoclonal antibody that detects HLA-DRB1, a beta chain of HLA-DR class II molecules. These glycoproteins are expressed primarily on antigen-presenting cells, including B lymphocytes, monocytes, macrophages, and dendritic cells. HLA-DRB1 pairs with alpha chains to form heterodimers that present extracellular peptides to CD4 positive T lymphocytes. This process is central to adaptive immunity, influencing immune recognition, tolerance, and disease susceptibility. NSJ Bioreagents provides HLA-DRB1 antibody clone LN3 for reliable detection of this essential immune marker in immunology, pathology, and transplantation research.

The antibody produces strong membranous staining on professional antigen-presenting cells. In immunology, it is used to investigate antigen presentation pathways, T cell activation, and immune regulation. Its ability to consistently highlight HLA-DRB1 expression makes it a dependable reagent for characterizing immune populations in blood and tissue samples.

In transplantation biology, HLA-DRB1 antibody clone LN3 supports histocompatibility testing and graft compatibility studies. Variability in HLA-DRB1 alleles strongly influences transplant outcomes, and accurate detection of expression aids in predicting rejection risk and graft survival.

In oncology, this antibody has been applied to examine tumor immunology. Many tumors alter HLA-DRB1 expression to evade immune recognition. By assessing expression levels, researchers gain insight into tumor-immune interactions and potential responsiveness to immunotherapies.

The antibody has also been valuable in autoimmune disease research, where HLA-DRB1 alleles are associated with disorders such as rheumatoid arthritis, type 1 diabetes, and multiple sclerosis. Detecting HLA-DRB1 expression helps clarify how genetic and cellular factors combine to drive autoimmunity.

Validated in tissue and cell-based assays, the antibody delivers reproducible results with strong specificity. Alternate names include HLA class II DRB1 antibody, major histocompatibility complex class II beta chain antibody, and DR antigen antibody.

Application Notes

Optimal dilution of the HLA-DRB1 antibody should be determined by the researcher.

1. Staining of formalin-fixed tissues requires boiling tissue sections in 10mM Citrate buffer, pH 6.0, for 10-20 min followed by cooling at RT for 20 min
2. The prediluted format is supplied in a dropper bottle and is optimized for use in IHC. After epitope retrieval step (if required), drip mAb solution onto the tissue section and incubate at RT for 30 min.

Immunogen

Activated human peripheral blood mononuclear cells were used as the immunogen for the HLA-DRB1 antibody.

Storage

Store the HLA-DRB1 antibody at 2-8oC (with azide) or aliquot and store at -20oC or colder (without azide).

Cross
Bulk Quote Request Form
Name*:
Organization*:
Email*:
Phone Number*:
Catalog No.*:
Comments and Specifics(amount, formulation, etc.)*:
Validation code: Captchapackage Image


Can't read the image? click here to refresh.
    *required field

Your bulk quote request has been submitted successfully!

Please contact us if you have any questions.