• Tel: 858.663.9055
  • SeparatorEmail: info@nsjbio.com
  • Tel: 858.663.9055
  • Email: info@nsjbio.com
Home >> Antibodies >> HLA-DRB1 Antibody Cocktail (MHC II)

HLA-DRB1 Antibody Cocktail (MHC II) [clone LN3 + HLA-DRB/1067] (V2592)

  Catalog No Formulation Size Price (USD)  
Image V2592-100UG 0.2 mg/ml in 1X PBS with 0.1 mg/ml BSA (US sourced) and 0.05% sodium azide 100 ug 539
Image
V2592-20UG 0.2 mg/ml in 1X PBS with 0.1 mg/ml BSA (US sourced) and 0.05% sodium azide 20 ug 249
Image
V2592SAF-100UG 1 mg/ml in 1X PBS; BSA free, sodium azide free 100 ug 539
Image
V2592IHC-7ML Prediluted in 1X PBS with 0.1 mg/ml BSA (US sourced) and 0.05% sodium azide; *For IHC use only* 7 ml 539
Bulk quote request
Immunofluorescent staining of human Raji cells with HLA-DRB1 antibody (clones LN3 + HLA-DRB/1067, cyan) and Reddot nuclear stain (red).
Western blot testing of human spleen tissue lysate with HLA-DRB1 antibody cocktail (clones LN3 + HLA-DRB/1067). Expected molecular weight ~30 kDa.
Western blot testing of human Ramos cell lysate with HLA-DRB1 antibody cocktail (clones LN3 + HLA-DRB/1067). Expected molecular weight ~30kDa.
IHC: Formalin-fixed, paraffin-embedded human tonsil stained with HLA-DRB1 antibody (LN3 + HLA-DRB/1067).
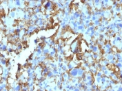
IHC: Formalin-fixed, paraffin-embedded human histiocytoma stained with HLA-DRB1 antibody (LN3 + HLA-DRB/1067).
Flow cytometry staining of human Raji cells with HLA-DRB1 antibody; Red=isotype control, Blue= HLA-DRB1 antibody.
Availability 1-3 business days
Species Reactivity Human
Format Purified
Clonality Monoclonal (mouse origin)
Isotype Mouse IgG2b, kappa
Clone Name LN3 + HLA-DRB/1067
Purity Protein G affinity chromatography
UniProt P01911
Localization Cell surface
Applications Flow Cytometry : 1-2ug/10^6 cells
Immunofluorescence : 1-3ug/ml
Western Blot : 2-4ug/ml
Immunohistochemistry (FFPE) : 1-2ug/ml for 30 min at RT
Limitations This HLA-DRB1 antibody cocktail is available for research use only.
Review this product on BioCompare and get a $20 Amazon gift card

Related Products

Description

This mAb reacts with the beta-chain of HLA-DRB1 antigen, a member of MHC class II molecules. It does not cross react with HLA-DP and HLA-DQ. HLA-DR is a heterodimeric cell surface glycoprotein comprised of a 36kDa alpha (heavy) chain and a 28kDa beta (light) chain. It is expressed on B-cells, activated T-cells, monocytes/macrophages, dendritic cells and other non-professional APCs. In conjunction with the CD3/TCR complex and CD4 molecules, HLA-DR is critical for efficient peptide presentation to CD4+ T cells. It is an excellent histiocytic marker in paraffin sections producing intense cytoplasmic staining. True histiocytic neoplasms are similarly positive. HLA-DR antigens also occur on a variety of epithelial cells and their corresponding neoplastic counterparts. Loss of HLA-DR expression is related to tumor microenvironment and predicts adverse outcome in diffuse large B-cell lymphoma.

Application Notes

Optimal dilution of the HLA-DRB1 antibody cocktail should be determined by the researcher.

1. Staining of formalin-fixed tissues requires boiling tissue sections in 10mM Citrate buffer, pH 6.0, for 10-20 min followed by cooling at RT for 20 min
2. The prediluted format is supplied in a dropper bottle and is optimized for use in IHC. After epitope retrieval step (if required), drip mAb solution onto the tissue section and incubate at RT for 30 min.

Immunogen

Activated human peripheral blood mononuclear cells (LN-3 & HLA-DRB/1067) were used as the immunogen for the HLA-DRB1 antibody cocktail.

Storage

Store the HLA-DRB1 antibody cocktail at 2-8oC (with azide) or aliquot and store at -20oC or colder (without azide).

Cross
Bulk Quote Request Form
Name*:
Organization*:
Email*:
Phone Number*:
Catalog No.*:
Comments and Specifics(amount, formulation, etc.)*:
Validation code: Captchapackage Image


Can't read the image? click here to refresh.
    *required field

Your bulk quote request has been submitted successfully!

Please contact us if you have any questions.