• Tel: 858.663.9055
  • SeparatorEmail: info@nsjbio.com
  • Tel: 858.663.9055
  • Email: info@nsjbio.com
Home >> Antibodies >> HLA-DRA Antibody / HLA-DR

HLA-DRA Antibody / HLA-DR (RQ5585)

  Catalog No Formulation Size Price (USD)  
Image RQ5585 0.5mg/ml if reconstituted with 0.2ml sterile DI water 100 ug 439
Bulk quote request
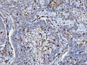
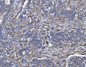
IHC staining of FFPE human duodenal adenocarcinoma with HLA-DRA antibody. HIER: boil tissue sections in pH6, 10mM citrate buffer, for 20 min and allow to cool before testing.
IHC staining of FFPE human laryngeal squamous cell carcinoma with HLA-DRA antibody. HIER: boil tissue sections in pH6, 10mM citrate buffer, for 20 min and allow to cool before testing.
IHC staining of FFPE human seminoma testis tissue with HLA-DRA antibody. HIER: boil tissue sections in pH6, 10mM citrate buffer, for 20 min and allow to cool before testing.
IHC staining of FFPE human breast cancer with HLA-DRA antibody. HIER: boil tissue sections in pH6, 10mM citrate buffer, for 20 min and allow to cool before testing.
IHC staining of FFPE human breast cancer with HLA-DRA antibody. HIER: boil tissue sections in pH6, 10mM citrate buffer, for 20 min and allow to cool before testing.
Western blot testing of 1) human Raji, 2) human Daudi, 3) human Ramos and 4) human HMy2.CIR cell lysate with HLA-DRA antibody. Expected molecular weight ~35 kDa.
Flow cytometry testing of human PBM cells with HLA-DRA antibody at 1ug/million cells (blocked with goat sera); Red=cells alone, Green=isotype control, Blue= HLA-DRA antibody.
Flow cytometry testing of human SW620 cells with HLA-DRA antibody at 1ug/million cells (blocked with goat sera); Red=cells alone, Green=isotype control, Blue= HLA-DRA antibody.
Availability 1-3 business days
Species Reactivity Human
Format Antigen affinity purified
Clonality Polyclonal (rabbit origin)
Isotype Rabbit IgG
Purity Affinity purified
Buffer Lyophilized from 1X PBS with 2% Trehalose and 0.025% sodium azide
UniProt P01903
Applications Western Blot : 0.25-0.5ug/ml
Immunohistochemistry (FFPE) : 1-2ug/ml
Flow Cytometry : 1-3ug/million cells
Direct ELISA : 0.1-0.5ug/ml
Limitations This HLA-DRA antibody is available for research use only.
Review this product on BioCompare and get a $20 Amazon gift card

Related Products

Description

HLA class II histocompatibility antigen, DR alpha chainis a protein that in humans is encoded by the HLA-DRA gene. It is mapped to 6p21.32. HLA-DRA is one of the HLA class II alpha chain paralogues. This class II molecule is a heterodimer consisting of an alpha and a beta chain, both anchored in the membrane. It plays a central role in the immune system by presenting peptides derived from extracellular proteins. Class II molecules are expressed in antigen presenting cells (APC: B lymphocytes, dendritic cells, macrophages). The alpha chain is approximately 33-35 kDa and its gene contains 5 exons. Exon 1 encodes the leader peptide, exons 2 and 3 encode the two extracellular domains, and exon 4 encodes the transmembrane domain and the cytoplasmic tail. DRA does not have polymorphisms in the peptide binding part and acts as the sole alpha chain for DRB1, DRB3, DRB4 and DRB5.

Application Notes

Optimal dilution of the HLA-DRA antibody should be determined by the researcher.

Immunogen

A human recombinant protein (amino acids I26-L254) was used as the immunogen for the HLA-DRA antibody.

Storage

After reconstitution, the HLA-DRA antibody can be stored for up to one month at 4oC. For long-term, aliquot and store at -20oC. Avoid repeated freezing and thawing.

Cross
Bulk Quote Request Form
Name*:
Organization*:
Email*:
Phone Number*:
Catalog No.*:
Comments and Specifics(amount, formulation, etc.)*:
Validation code: Captchapackage Image


Can't read the image? click here to refresh.
    *required field

Your bulk quote request has been submitted successfully!

Please contact us if you have any questions.