• Tel: 858.663.9055
  • SeparatorEmail: info@nsjbio.com
  • Tel: 858.663.9055
  • Email: info@nsjbio.com
Home >> Antibodies >> HLA-DR Antibody

HLA-DR Antibody [clone rHLA-DRA/8285] (V5125)

  Catalog No Formulation Size Price (USD)  
Image V5125-100UG 0.2 mg/ml in 1X PBS with 0.1 mg/ml BSA (US sourced), 0.05% sodium azide 100 ug 539
Image
V5125-20UG 0.2 mg/ml in 1X PBS with 0.1 mg/ml BSA (US sourced), 0.05% sodium azide 20 ug 249
Image
V5125SAF-100UG 1 mg/ml in 1X PBS; BSA free, sodium azide free 100 ug 539
Microvalidated Recmousemono
Bulk quote request
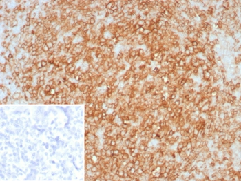
IHC staining of FFPE human tonsil tissue with HLA-DR antibody (clone rHLA-DRA/8285). Inset: PBS used in place of primary Ab (secondary Ab negative control). HIER: boil tissue sections in pH 9 10mM Tris with 1mM EDTA for 20 min and allow to cool before testing.
SDS-PAGE analysis of purified, BSA-free HLA-DR antibody (clone rHLA-DRA/8285) as confirmation of integrity and purity.
Availability 1-3 business days
Species Reactivity Human
Format Purified
Clonality Recombinant Mouse Monoclonal
Isotype Mouse IgG1, kappa
Clone Name rHLA-DRA/8285
Purity Protein A/G affinity
UniProt P01903
Localization Cell surface
Applications Immunohistochemistry (FFPE) : 1-2ug/ml for 30 min at RT
Limitations This HLA-DR antibody is available for research use only.
Review this product on BioCompare and get a $20 Amazon gift card

Related Products

Description

This mAb reacts with the beta-chain of HLA-DR antigen, a member of MHC class II molecules. It does not cross react with HLA-DP and HLA-DQ. The L243 antibody recognizes a different epitope than the rHLA-DRA/8285 monoclonal antibody, and these antibodies do not cross-block binding to each other's respective epitopes. HLA-DR is a heterodimeric cell surface glycoprotein comprised of a 36kDa alpha (heavy) chain and a 28kDa beta (light) chain. It is expressed on B-cells, activated T-cells, monocytes/macrophages, dendritic cells and other non-professional APCs. In conjunction with the CD3/TCR complex and CD4 molecules, HLA-DR is critical for efficient peptide presentation to CD4+ T cells. It is an excellent histiocytic marker in paraffin sections producing intense staining. True histiocytic neoplasms are similarly positive. HLA-DR antigens also occur on a variety of epithelial cells and their corresponding neoplastic counterparts.

Application Notes

Optimal dilution of the HLA-DR antibody should be determined by the researcher.

Immunogen

A recombinant partial protein sequence (within amino acids 1-200) from the human protein was used as the immunogen for the HLA-DR antibody.

Storage

Aliquot the HLA-DR antibody and store frozen at -20oC or colder. Avoid repeated freeze-thaw cycles.

Cross
Bulk Quote Request Form
Name*:
Organization*:
Email*:
Phone Number*:
Catalog No.*:
Comments and Specifics(amount, formulation, etc.)*:
Validation code: Captchapackage Image


Can't read the image? click here to refresh.
    *required field

Your bulk quote request has been submitted successfully!

Please contact us if you have any questions.