• Tel: 858.663.9055
  • SeparatorEmail: info@nsjbio.com
  • Tel: 858.663.9055
  • Email: info@nsjbio.com
Home >> Antibodies >> HLA-DR Antibody (alpha chain)

HLA-DR Antibody (alpha chain) [clone FGI-8] (RQ4987)

  Catalog No Formulation Size Price (USD)  
Image RQ4987 Antibody in PBS with 0.02% sodium azide, 50% glycerol and 0.4-0.5mg/ml BSA 100 ul 439
Microvalidated Rab Mono Image
Bulk quote request
Western blot testing of human Raji cell lysate with HLA-DR antibody. Expected molecular weight ~34 kDa.
Western blot testing of human Ramos cell lysate with HLA-DR antibody. Expected molecular weight ~34 kDa.
Western blot testing of human K562 cell lysate with HLA-DR antibody. Expected molecular weight ~34 kDa.
Western blot testing of rat spleen tissue lysate with HLA-DR antibody. Expected molecular weight ~34 kDa.
Immunofluorescent staining of human Raji cells with HLA-DR antibody (green) and DAPI nuclear stain (blue).
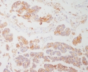
IHC staining of FFPE human lung tissue with HLA-DR antibody. HIER: boil tissue sections in pH8 EDTA for 20 min and allow to cool before testing.
Availability 1-2 weeks
Species Reactivity Human
Format Purified
Clonality Rabbit Monoclonal
Isotype Rabbit IgG
Clone Name FGI-8
Purity Affinity purified
UniProt P01903
Applications Western Blot : 1:1000-1:5000
Immunohistochemistry (FFPE) : 1:50-1:200
Immunofluorescence : 1:50-1:200
Limitations This HLA-DR antibody is available for research use only.
Review this product on BioCompare and get a $20 Amazon gift card

Related Products

Description

HLA-DRA is one of the HLA class II alpha chain paralogues. This class II molecule is a heterodimer consisting of an alpha and a beta chain, both anchored in the membrane. It plays a central role in the immune system by presenting peptides derived from extracellular proteins. [RefSeq]

Application Notes

Optimal dilution of the HLA-DR antibody should be determined by the researcher.

Immunogen

A synthetic peptide specific to human HLA-DR alpha was used as the immunogen for the HLA-DR antibody.

Storage

Store the HLA-DR antibody at -20oC.

Cross
Bulk Quote Request Form
Name*:
Organization*:
Email*:
Phone Number*:
Catalog No.*:
Comments and Specifics(amount, formulation, etc.)*:
Validation code: Captchapackage Image


Can't read the image? click here to refresh.
    *required field

Your bulk quote request has been submitted successfully!

Please contact us if you have any questions.