• Tel: 858.663.9055
  • SeparatorEmail: info@nsjbio.com
  • Tel: 858.663.9055
  • Email: info@nsjbio.com
Home >> Antibodies >> HLA-DP/DQ/DR Antibody (MHC II)

HLA-DP/DQ/DR Antibody (MHC II) [clone CR3/43] (V3374)

  Catalog No Formulation Size Price (USD)  
Image V3374-100UG 0.2 mg/ml in 1X PBS with 0.1 mg/ml BSA (US sourced) and 0.05% sodium azide 100 ug 539
Image
V3374-20UG 0.2 mg/ml in 1X PBS with 0.1 mg/ml BSA (US sourced) and 0.05% sodium azide 20 ug 249
Image
V3374SAF-100UG 1 mg/ml in 1X PBS; BSA free, sodium azide free 100 ug 539
Bulk quote request
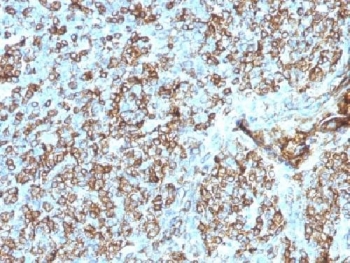
IHC testing of FFPE human tonsil tissue with HLA-DP/DQ/DR antibody (clone CR3/43). Required HIER: boil tissue sections in 10mM citrate buffer, pH 6, for 10-20 min.
IHC testing of FFPE human tonsil tissue with HLA-DP/DQ/DR antibody (clone CR3/43). Required HIER: boil tissue sections in 10mM citrate buffer, pH 6, for 10-20 min.
Western blot testing of human Ramos cell lysate with HLA-DP/DQ/DR antibody (clone CR3/43). Expected molecular weight ~36 kDa (alpha chain) and ~27 kDa (beta chain).
Western blot testing of human spleen cell lysate with HLA-DP/DQ/DR antibody (clone CR3/43). Expected molecular weight ~36 kDa (alpha chain) and ~27 kDa (beta chain).
IF/ICC staining of human Raji cells with HLA-DP/DQ/DR antibody (green) and Reddot nuclear stain (red).
Flow cytometry testing of human Raji cells with HLA-DP/DQ/DR antibody at 1ug/10^6 cells (blocked with goat sera); Red=isotype control, Blue= HLA-DP/DQ/DR antibody.
SDS-PAGE analysis of purified, BSA-free HLA-DP/DQ/DR antibody (clone CR3/43) as confirmation of integrity and purity.
Availability 1-3 business days
Species Reactivity Human
Format Purified
Clonality Monoclonal (mouse origin)
Isotype Mouse IgG1, kappa
Clone Name CR3/43
Purity Protein G affinity chromatography
UniProt P04440 , P01908 , P01909 , P01920 , P01903
Localization Cytoplasmic and cell surface
Applications ELISA : 2-4ug/ml for coating (order BSA/sodium azide-free format)
Flow Cytometry : 1-2ug/ 10^6 cells
Immunofluorescence : 1-2ug/ml
Western Blot : 1-2ug/ml
Immunohistochemistry (FFPE) : 1-2ug/ml for 30 min at RT
Limitations This HLA-DP/DQ/DR antibody is available for research use only.
Review this product on BioCompare and get a $20 Amazon gift card

Related Products

Description

This mAb reacts with a common epitope of human major histocompatibility (MHC) class II antigens, HLA-DP, -DQ and -DR. Human MHC class II antigens are transmembrane glycoproteins composed of an alpha chain (36kDa) and a beta chain (27kDa). They are expressed primarily on antigen presenting cells such as B lymphocytes, monocytes, macrophages, and thymic epithelial cells and are also present on activated T lymphocytes. Human MHC class II genes are located in the HLA-D region that encodes at least six alpha and ten beta chain genes. Three loci, DR, DQ and DP, encode the major expressed products of the human class II region. The human MHC class II molecules bind intracellularly processed peptides and present them to T-helper cells. They, therefore, have a critical role in the initiation of the immune response. It has been shown that some auto-immune diseases are associated with certain class II alleles.

Application Notes

Optimal dilution of the HLA-DP/DQ/DR antibody should be determined by the researcher.

Immunogen

Human tonsil cells were used as the immunogen for the HLA-DP/DQ/DR antibody.

Storage

Store the HLA-DP/DQ/DR antibody at 2-8oC (with azide) or aliquot and store at -20oC or colder (without azide).

Cross
Bulk Quote Request Form
Name*:
Organization*:
Email*:
Phone Number*:
Catalog No.*:
Comments and Specifics(amount, formulation, etc.)*:
Validation code: Captchapackage Image


Can't read the image? click here to refresh.
    *required field

Your bulk quote request has been submitted successfully!

Please contact us if you have any questions.