• Tel: 858.663.9055
  • SeparatorEmail: info@nsjbio.com
  • Tel: 858.663.9055
  • Email: info@nsjbio.com
Home >> Antibodies >> HLA-ABC Antibody / MHC I

HLA-ABC Antibody / MHC I [clone MHC-I/8147R] (V5128)

  Catalog No Formulation Size Price (USD)  
Image V5128-100UG 0.2 mg/ml in 1X PBS with 0.1 mg/ml BSA (US sourced), 0.05% sodium azide 100 ug 539
Image
V5128-20UG 0.2 mg/ml in 1X PBS with 0.1 mg/ml BSA (US sourced), 0.05% sodium azide 20 ug 249
Image
V5128SAF-100UG 1 mg/ml in 1X PBS; BSA free, sodium azide free 100 ug 539
Microvalidated Recrabbitmono
Bulk quote request
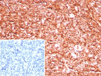
IHC staining of FFPE human tonsil tissue with HLA 1 ABC antibody (clone MHC-I/8147R). Inset: PBS used in place of primary Ab (secondary Ab negative control). HIER: boil tissue sections in pH 9 10mM Tris with 1mM EDTA for 20 min and allow to cool before testing.
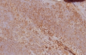
IHC staining of FFPE human tonsil tissue with HLA 1 ABC antibody (clone MHC-I/8147R). HIER: boil tissue sections in pH 9 10mM Tris with 1mM EDTA for 20 min and allow to cool before testing.
Availability 1-3 business days
Species Reactivity Human
Format Purified
Clonality Recombinant Rabbit Monoclonal
Isotype Rabbit IgG, kappa
Clone Name MHC-I/8147R
Purity Protein A/G affinity
UniProt P01889 , P30443 , P30499
Localization Cell Surface
Applications Immunohistochemistry (FFPE) : 1-2ug/ml for 30 min at RT
Limitations This HLA-ABC antibody is available for research use only.
Review this product on BioCompare and get a $20 Amazon gift card

Related Products

Description

Major Histocompatibility Complex (MHC) is a genetic region on chromosomes composed of tightly linked highly polymorphic gene loci that encode cell surface specific proteins, depending on the structure and function of genes and coding products. We divide MHC into class I (telomeric), class II (centromeric) and class III gene regions. Endogenous antigen presentation is presented by the major histocompatibility complex I (MHC I ) pathway. Intracytoplasmic proteins are decomposed into peptides during protease degradation, which in turn are delivered by HSP41 and HSP90 proteins to TAP on the membrane. MHC I is widely distributed on the surface of almost all nucleated cells, including spleen, lymph nodes and thymus lymphocytes in normal tissues. It is also expressed in skin, lung, kidney, liver and heart tissues. It is also widely expressed in tumor tissues. MHC molecular typing is related to the matching of organ transplantation and bone marrow transplantation, as well as a variety of autoimmune diseases.

Application Notes

Optimal dilution of the HLA-ABC antibody should be determined by the researcher.

Immunogen

A recombinant partial protein sequence (within amino acids 100-300) from the human protein was used as the immunogen for the HLA-ABC antibody.

Storage

Aliquot the HLA-ABC antibody and store frozen at -20oC or colder. Avoid repeated freeze-thaw cycles.

Cross
Bulk Quote Request Form
Name*:
Organization*:
Email*:
Phone Number*:
Catalog No.*:
Comments and Specifics(amount, formulation, etc.)*:
Validation code: Captchapackage Image


Can't read the image? click here to refresh.
    *required field

Your bulk quote request has been submitted successfully!

Please contact us if you have any questions.