• Tel: 858.663.9055
  • SeparatorEmail: info@nsjbio.com
  • Tel: 858.663.9055
  • Email: info@nsjbio.com
Home >> Antibodies >> HLA-A Antibody

HLA-A Antibody [clone BBI-8] (RQ4986)

  Catalog No Formulation Size Price (USD)  
Image RQ4986 Antibody in PBS with 0.02% sodium azide, 50% glycerol and 0.4-0.5mg/ml BSA 100 ul 439
Microvalidated Rab Mono Image
Bulk quote request
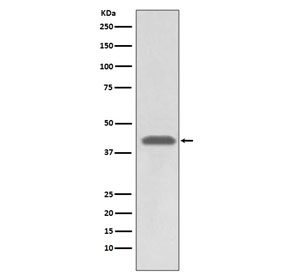
Western blot testing of human A549 cell lysate with HLA-A antibody. Predicted molecular weight ~41 kDa.
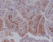
IHC staining of FFPE human thyroid cancer with HLA-A antibody. HIER: boil tissue sections in pH6, 10mM citrate buffer, for 10-20 min and allow to cool before testing.
Availability 1-2 weeks
Species Reactivity Human
Format Purified
Clonality Rabbit Monoclonal
Isotype Rabbit IgG
Clone Name BBI-8
Purity Affinity purified
UniProt P01891
Applications Western Blot : 1:500-1:2000
Immunohistochemistry (FFPE) : 1:50-1:200
Limitations This HLA-A antibody is available for research use only.
Review this product on BioCompare and get a $20 Amazon gift card

Related Products

  • Applications : WB, ELISA
    Reactivity : Mouse
    Pred. Reactivity : Human
  • Applications : FACS, IF
    Reactivity : Human
    Citation  Citations(7)
  • Applications : WB, IHC-P
    Reactivity : Human

Description

HLA-A is involved in the presentation of foreign antigens to the immune system. [UniProt]

Application Notes

Optimal dilution of the HLA-A antibody should be determined by the researcher.

Immunogen

A synthetic peptide specific to human HLA-A was used as the immunogen for the HLA-A antibody.

Storage

Store the HLA-A antibody at -20oC.

Cross
Bulk Quote Request Form
Name*:
Organization*:
Email*:
Phone Number*:
Catalog No.*:
Comments and Specifics(amount, formulation, etc.)*:
Validation code: Captchapackage Image


Can't read the image? click here to refresh.
    *required field

Your bulk quote request has been submitted successfully!

Please contact us if you have any questions.