• Tel: 858.663.9055
  • SeparatorEmail: info@nsjbio.com
  • Tel: 858.663.9055
  • Email: info@nsjbio.com
Home >> Antibodies >> Histone H4 Antibody / H4C1/2/3/4/5/6/8/9/11/12/13/14/15/16

Histone H4 Antibody / H4C1/2/3/4/5/6/8/9/11/12/13/14/15/16 (FY12427)

  Catalog No Formulation Size Price (USD)  
Image FY12427 Adding 0.2 ml of distilled water will yield a concentration of 500 ug/ml 100 ug 439
Bulk quote request
Immunofluorescent staining of Histone H4 using anti-Histone H4 antibody (green) and anti-Beta Tubulin antibody (red). Histone H4 was detected in an immunocytochemical section of U2OS cells. Enzyme antigen retrieval was performed using IHC enzyme antigen retrieval reagent for 15 mins. The cells were blocked with 10% goat serum. And then incubated with 5 ug/ml rabbit anti-Histone H4 antibody and mouse anti-Beta Tubulin antibody overnight at 4oC. DyLight 488 Conjugated Goat Anti-Rabbit IgG and Cy3 Conjugated Goat Anti-Mouse IgG were used as secondary antibody at 1:500 dilution and incubated for 30 minutes at 37oC. Visualize using a fluorescence microscope and filter sets appropriate for the label used.
Western blot analysis of Histone H4 using anti-Histone H4 antibody. Electrophoresis was performed on a 12% SDS-PAGE gel at 80V (Stacking gel) / 120V (Resolving gel) for 2 hours. Lane 1: human Hela whole cell lysates, Lane 2: human 293T whole cell lysates, Lane 3: human HepG2 whole cell lysates, Lane 4: human HT1080 whole cell lysates, Lane 5: rat kidney tissue lysates, Lane 6: rat thymus tissue lysates, Lane 7: mouse kidney tissue lysates, Lane 8: mouse thymus tissue lysates. After electrophoresis, proteins were transferred to a nitrocellulose membrane at 150 mA for 50-90 minutes. Blocked the membrane with 5% non-fat milk/TBS for 1.5 hour at RT. The membrane was incubated with rabbit anti-Histone H4 antibody at 0.5 ug/ml overnight at 4oC, then washed with TBS-0.1%Tween 3 times with 5 minutes each and probed with a goat anti-rabbit IgG-HRP secondary antibody at a dilution of 1:5000 for 1.5 hour at RT. The signal was developed using an ECL Plus Western Blotting Substrate. A specific band was detected for Histone H4 at approximately 14 kDa. The expected molecular weight of Histone H4 is at 11 kDa.
Immunofluorescent staining of Histone H4 using anti-Histone H4 antibody. Histone H4 was detected in a paraffin-embedded section of human breast cancer tissue. Heat mediated antigen retrieval was performed in EDTA buffer (pH 8.0, epitope retrieval solution). The tissue section was blocked with 10% goat serum. The tissue section was then incubated with 5 ug/ml rabbit anti-Histone H4 antibody overnight at 4oC. Cy3 Conjugated Goat Anti-Rabbit IgG was used as secondary antibody at 1:500 dilution and incubated for 30 minutes at 37oC. The section was counterstained with DAPI nuclear stain (blue). Visualize using a fluorescence microscope and filter sets appropriate for the label used.
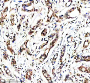
Immunohistochemical staining of Histone H4 using anti-Histone H4 antibody. Histone H4 was detected in a paraffin-embedded section of human breast cancer tissue. Heat mediated antigen retrieval was performed in EDTA buffer (pH 8.0, epitope retrieval solution). The tissue section was blocked with 10% goat serum. The tissue section was then incubated with 2 ug/ml rabbit anti-Histone H4 antibody overnight at 4oC. Peroxidase Conjugated Goat Anti-rabbit IgG was used as secondary antibody and incubated for 30 minutes at 37oC. The tissue section was developed using an HRP secondary and DAB substrate.
Flow Cytometry analysis of 293T cells using anti-Histone H4 antibody. Overlay histogram showing 293T cells stained with (Blue line). To facilitate intracellular staining, cells were fixed with 4% paraformaldehyde and permeabilized with permeabilization buffer. The cells were blocked with 10% normal goat serum. And then incubated with rabbit anti-Histone H4 antibody (1 ug/million cells) for 30 min at 20oC. DyLight 488 conjugated goat anti-rabbit IgG (5-10 ug/million cells) was used as secondary antibody for 30 minutes at 20oC. Isotype control antibody (Green line) was rabbit IgG (1 ug/million cells) used under the same conditions. Unlabelled sample without incubation with primary antibody and secondary antibody (Red line) was used as a blank control.
Flow Cytometry analysis of C6 cells using anti-Histone H4 antibody. Overlay histogram showing C6 cells stained with (Blue line). To facilitate intracellular staining, cells were fixed with 4% paraformaldehyde and permeabilized with permeabilization buffer. The cells were blocked with 10% normal goat serum. And then incubated with rabbit anti-Histone H4 antibody (1 ug/million cells) for 30 min at 20oC. DyLight 488 conjugated goat anti-rabbit IgG (5-10 ug/million cells) was used as secondary antibody for 30 minutes at 20oC. Isotype control antibody (Green line) was rabbit IgG (1 ug/million cells) used under the same conditions. Unlabelled sample without incubation with primary antibody and secondary antibody (Red line) was used as a blank control.
Flow Cytometry analysis of HEPA1-6 cells using anti-Histone H4 antibody. Overlay histogram showing HEPA1-6 cells stained with (Blue line). To facilitate intracellular staining, cells were fixed with 4% paraformaldehyde and permeabilized with permeabilization buffer. The cells were blocked with 10% normal goat serum. And then incubated with rabbit anti-Histone H4 antibody (1 ug/million cells) for 30 min at 20oC. DyLight 488 conjugated goat anti-rabbit IgG (5-10 ug/million cells) was used as secondary antibody for 30 minutes at 20oC. Isotype control antibody (Green line) was rabbit IgG (1 ug/million cells) used under the same conditions. Unlabelled sample without incubation with primary antibody and secondary antibody (Red line) was used as a blank control.
Availability 1-2 days
Species Reactivity Human, Mouse, Rat
Format Lyophilized
Clonality Polyclonal (rabbit origin)
Isotype Rabbit IgG
Purity Immunogen affinity purified
Buffer Each vial contains 4 mg Trehalose, 0.9 mg NaCl, 0.2 mg Na2HPO4.
UniProt P62805
Applications Western Blot : 0.25-0.5ug/ml
Immunohistochemistry : 2-5ug/ml
Immunofluorescence : 5ug/ml
Immunocytochemistry/Immunofluorescence : 5ug/ml
Flow Cytometry : 1-3ug/million cells
ELISA : 0.1-0.5ug/ml
Limitations This Histone H4 antibody is available for research use only.
Review this product on BioCompare and get a $20 Amazon gift card

Related Products

Description

The Histone H4 antibody targets Histone H4, one of the four core histones encoded by multiple HIST1H4 genes. Histone H4 forms part of the nucleosome core along with histones H2A, H2B, and H3, serving as a fundamental structural unit of chromatin. Each nucleosome consists of an octamer of histones wrapped by approximately 147 base pairs of DNA, compacting the genome into higher-order chromatin structures. The Histone H4 antibody provides researchers with a reliable tool to investigate chromatin organization, gene regulation, and post-translational histone modifications.

Histone H4 plays a central role in chromatin stability and accessibility. Its N-terminal tail contains lysine residues that undergo multiple modifications including acetylation, methylation, and phosphorylation, which influence transcriptional activation or repression. The Histone H4 antibody allows detection of both native and modified forms, supporting studies into epigenetic regulation and DNA-templated processes. These modifications are dynamic and essential for replication, repair, and recombination.

During DNA replication, Histone H4 is synthesized and assembled onto nascent DNA to restore chromatin structure. The Histone H4 antibody enables visualization of chromatin assembly and nucleosome spacing in proliferating cells. Dysregulation of H4 expression or modification patterns is associated with aberrant chromatin compaction and altered gene expression, contributing to cancer and developmental disorders. Histone H4 lysine 16 acetylation, for instance, plays a crucial role in chromatin decondensation and transcriptional activation.

Histone H4 interacts with chromatin remodelers, histone chaperones, and modifying enzymes that control nucleosome positioning and dynamics. The Histone H4 antibody is widely used to study histone-protein interactions and to map modification patterns across the genome through chromatin immunoprecipitation (ChIP) assays. Changes in H4 modification landscapes serve as biomarkers for epigenetic reprogramming in response to stress, differentiation, or oncogenic transformation.

The Histone H4 antibody performs effectively in western blotting, immunofluorescence, and immunohistochemistry, producing strong nuclear staining characteristic of chromatin localization. NSJ Bioreagents provides this antibody as a high-specificity reagent for chromatin biology, epigenetics, and molecular genetics research. By enabling accurate detection of Histone H4, the Histone H4 antibody supports comprehensive investigation of nucleosome structure, histone modification dynamics, and chromatin-mediated gene regulation.

Application Notes

Optimal dilution of the Histone H4 antibody should be determined by the researcher.

Immunogen

E.coli-derived human Histone H4 recombinant protein (Position: A16-R96) was used as the immunogen for the Histone H4 antibody.

Storage

After reconstitution, the Histone H4 antibody can be stored for up to one month at 4oC. For long-term, aliquot and store at -20oC. Avoid repeated freezing and thawing.

Cross
Bulk Quote Request Form
Name*:
Organization*:
Email*:
Phone Number*:
Catalog No.*:
Comments and Specifics(amount, formulation, etc.)*:
Validation code: Captchapackage Image


Can't read the image? click here to refresh.
    *required field

Your bulk quote request has been submitted successfully!

Please contact us if you have any questions.