• Tel: 858.663.9055
  • SeparatorEmail: info@nsjbio.com
  • Tel: 858.663.9055
  • Email: info@nsjbio.com
Home >> Antibodies >> Histone H3 (acetyl K9) Antibody / HIST1H3A

Histone H3 (acetyl K9) Antibody / HIST1H3A [clone 32H22] (FY12201)

  Catalog No Formulation Size Price (USD)  
Image FY12201 Rabbit IgG in phosphate buffered saline, pH 7.4, 150mM NaCl, 0.02% sodium azide and 50% glycerol, 0.4-0.5mg/ml BSA 100 ul 439
Microvalidated Recrabbitmono
Bulk quote request
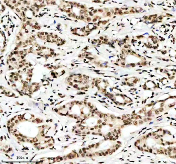
Immunohistochemical staining of Histone H3 (acetyl K9) using anti-Histone H3 (acetyl K9) antibody. Histone H3 (acetyl K9) was detected in a paraffin-embedded section of human breast cancer tissue. Heat mediated antigen retrieval was performed in EDTA buffer (pH 8.0, epitope retrieval solution). The tissue section was blocked with 10% goat serum. The tissue section was then incubated with a dilution of 1:50 rabbit anti-Histone H3 (acetyl K9) antibody overnight at 4oC. Peroxidase Conjugated Goat Anti-rabbit IgG was used as secondary antibody and incubated for 30 minutes at 37oC. The tissue section was developed using an HRP secondary and DAB substrate.
Western blot analysis of Histone H3 using anti-Histone H3 (acetyl K9) antibody. Electrophoresis was performed on a 12% SDS-PAGE gel at 80V (Stacking gel) / 120V (Resolving gel) for 2 hours. Lane 1: human 293T whole cell lysates, Lane 2: human HepG2 whole cell lysates. After electrophoresis, proteins were transferred to a nitrocellulose membrane at 150 mA for 50-90 minutes. Blocked the membrane with 5% non-fat milk/TBS for 1.5 hour at RT. The membrane was incubated with rabbit anti-Histone H3 (acetyl K9) antibody at a dilution of 1:500 overnight at 4oC, then washed with TBS-0.1%Tween 3 times with 5 minutes each and probed with a goat anti-rabbit IgG-HRP secondary antibody at a dilution of 1:5000 for 1.5 hour at RT. The signal was developed using an ECL Plus Western Blotting Substrate. The expected band size for Histone H3 (acetyl K9) is at 15 kDa.
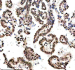
Immunohistochemical staining of Histone H3 (acetyl K9) using anti-Histone H3 (acetyl K9) antibody. Histone H3 (acetyl K9) was detected in a paraffin-embedded section of human lung cancer tissue. Heat mediated antigen retrieval was performed in EDTA buffer (pH 8.0, epitope retrieval solution). The tissue section was blocked with 10% goat serum. The tissue section was then incubated with a dilution of 1:50 rabbit anti-Histone H3 (acetyl K9) antibody overnight at 4oC. Peroxidase Conjugated Goat Anti-rabbit IgG was used as secondary antibody and incubated for 30 minutes at 37oC. The tissue section was developed using an HRP secondary and DAB substrate.
Availability 2-3 weeks
Species Reactivity Human, Mouse
Format Liquid
Clonality Recombinant Rabbit Monoclonal
Isotype Rabbit IgG
Clone Name 32H22
Purity Affinity-chromatography
Buffer Rabbit IgG in phosphate buffered saline, pH 7.4, 150mM NaCl, 0.02% sodium azide and 50% glycerol, 0.4-0.5mg/ml BSA.
UniProt P68431
Applications Western Blot : 1:500-1:2000
Immunohistochemistry : 1:50-1:200
Immunocytochemistry/Immunofluorescence : 1:50-1:200
Limitations This Histone H3 (acetyl K9) antibody is available for research use only.
Review this product on BioCompare and get a $20 Amazon gift card

Related Products

Description

Histone H3 (acetyl K9) antibody detects histone H3 acetylated at lysine 9, an important chromatin modification regulating transcription and gene expression. Histone H3, encoded in part by HIST1H3A, is a core nucleosomal protein around which DNA is wrapped. Acetylation at lysine 9, mediated by histone acetyltransferases (HATs) such as GCN5 and PCAF, neutralizes positive charges on histone tails, loosening chromatin structure and promoting transcriptional activation.

Research using Histone H3 (acetyl K9) antibody has shown this modification's pivotal role in epigenetics. H3K9ac marks promoters and enhancers of actively transcribed genes, serving as a hallmark of euchromatin. Its presence correlates strongly with transcription factor binding and RNA polymerase II recruitment. Genome-wide mapping studies reveal H3K9ac as a key indicator of cell identity and differentiation status.

Dysregulation of H3K9 acetylation is associated with cancer, neurological disease, and inflammatory conditions. Hypoacetylation of H3K9 is common in cancers, where tumor suppressor genes are transcriptionally silenced. Conversely, aberrant hyperacetylation can activate oncogenes. In neurodegenerative diseases such as Alzheimer's and Huntington's disease, altered H3K9 acetylation disrupts neuronal gene expression, contributing to cognitive decline. Inflammatory signaling pathways also remodel H3K9ac patterns, influencing cytokine production.

H3K9 acetylation is a therapeutic target for epigenetic drugs. Histone deacetylase inhibitors (HDACi) restore acetylation at silenced promoters, reactivating tumor suppressor expression. Monitoring H3K9ac with antibodies provides a direct readout of HDACi activity, making it an essential biomarker in clinical research.

Antibodies against acetyl-H3K9 are validated for chromatin immunoprecipitation (ChIP), western blot, immunofluorescence, and immunohistochemistry. These reagents allow researchers to profile chromatin landscapes, study transcriptional regulation, and monitor responses to epigenetic therapies. Clone-based antibodies ensure consistent recognition of acetylated lysine 9 while avoiding cross-reactivity with unmodified or other modified histone H3 residues.

NSJ Bioreagents supplies this Histone H3 (acetyl K9) antibody for research in epigenetics, transcriptional control, and disease pathology.

Application Notes

Optimal dilution of the Histone H3 (acetyl K9) antibody should be determined by the researcher.

Immunogen

A synthesized peptide derived from human Histone H3 (acetyl K9) was used as the immunogen for the Histone H3 (acetyl K9) antibody.

Storage

Store the Histone H3 (acetyl K9) antibody at -20oC.

Cross
Bulk Quote Request Form
Name*:
Organization*:
Email*:
Phone Number*:
Catalog No.*:
Comments and Specifics(amount, formulation, etc.)*:
Validation code: Captchapackage Image


Can't read the image? click here to refresh.
    *required field

Your bulk quote request has been submitted successfully!

Please contact us if you have any questions.