• Tel: 858.663.9055
  • SeparatorEmail: info@nsjbio.com
  • Tel: 858.663.9055
  • Email: info@nsjbio.com
Home >> Antibodies >> Histone H2B (crotonyl K12) Antibody / HIST2H2BE

Histone H2B (crotonyl K12) Antibody / HIST2H2BE [clone 31H73] (FY12726)

  Catalog No Formulation Size Price (USD)  
Image FY12726 Rabbit IgG in phosphate buffered saline, pH 7.4, 150mM NaCl, 0.02% sodium azide and 50% glycerol, 0.4-0.5mg/ml BSA 100 ul 439
Microvalidated Recrabbitmono
Bulk quote request
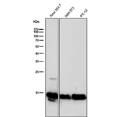
Western blot analysis of Histone H2B (crotonyl K12) expression in HeLa cell lysate using Histone H2B (crotonyl K12) antibody. Predicted molecular weight ~14 kDa.
All lanes use the Histone H2B (crotonyl K12) antibody at 1:500 dilution for 1 hour at room temperature. Predicted molecular weight ~14 kDa.
All lanes use the Histone H2B (crotonyl K12) antibody at 1:500 dilution for 1 hour at room temperature. Predicted molecular weight ~14 kDa.
Availability 2-3 weeks
Species Reactivity Human, Mouse, Rat
Format Liquid
Clonality Recombinant Rabbit Monoclonal
Isotype Rabbit IgG
Clone Name 31H73
Purity Affinity-chromatography
Buffer Rabbit IgG in phosphate buffered saline, pH 7.4, 150mM NaCl, 0.02% sodium azide and 50% glycerol, 0.4-0.5mg/ml BSA.
UniProt Q16778
Applications Western Blot : 1:500-1:2000
Immunohistochemistry : 1:50-1:200
Immunocytochemistry/Immunofluorescence : 1:50-1:200
Limitations This Histone H2B (crotonyl K12) antibody is available for research use only.
Review this product on BioCompare and get a $20 Amazon gift card

Related Products

Description

Histone H2B (crotonyl K12) antibody detects histone H2B specifically when modified by crotonylation at lysine 12. Histone H2B is encoded by multiple genes including HIST2H2BE, HIST1H2BB, and HIST1H2BC, with common identifiers such as H2B type 2E and H2B histone family members. Histone H2B is one of the four core histones that assemble into nucleosomes, which package and regulate DNA. Crotonylation is a recently discovered lysine acylation modification linked to transcriptional activation and open chromatin states. Modification at lysine 12 of H2B provides a dynamic marker of gene regulation in specific contexts such as development and stress responses.

Histone H2B (crotonyl K12) antibody is widely applied in epigenetics, chromatin biology, and cancer research. By detecting crotonylation at this specific residue, researchers can examine how histone modifications extend beyond acetylation and methylation to influence transcription. Crotonylation at K12 has been associated with gene activation in embryonic stem cells, immune regulation, and cellular stress adaptation.

ChIP with Histone H2B (crotonyl K12) antibody identifies promoter and enhancer regions enriched in this mark. Western blotting distinguishes crotonylated H2B from unmodified protein, while immunofluorescence highlights nuclear distribution of modified nucleosomes. These applications provide robust methods for exploring the biological relevance of histone crotonylation.

Histone crotonylation is regulated by histone acetyltransferases and deacetylases, many of which also act on acetylation. This overlap suggests coordination between acylation states in regulating gene activity. Dysregulation of crotonylation has been implicated in cancer, neurodegeneration, and metabolic disease. Histone H2B (crotonyl K12) antibody supports studies into how this modification contributes to disease pathology and therapeutic opportunities.

Histone H2B (crotonyl K12) antibody from NSJ Bioreagents provides dependable specificity for this site specific modification. Its performance ensures accurate evaluation of epigenetic regulation across cellular and disease models.

Application Notes

Optimal dilution of the Histone H2B (crotonyl K12) antibody should be determined by the researcher.

Immunogen

A synthesized peptide derived from human Histone H2B (crotonyl K12) was used as the immunogen for the Histone H2B (crotonyl K12) antibody.

Storage

Store the Histone H2B (crotonyl K12) antibody at -20oC.

Cross
Bulk Quote Request Form
Name*:
Organization*:
Email*:
Phone Number*:
Catalog No.*:
Comments and Specifics(amount, formulation, etc.)*:
Validation code: Captchapackage Image


Can't read the image? click here to refresh.
    *required field

Your bulk quote request has been submitted successfully!

Please contact us if you have any questions.