• Tel: 858.663.9055
  • SeparatorEmail: info@nsjbio.com
  • Tel: 858.663.9055
  • Email: info@nsjbio.com
Home >> Antibodies >> Histone H2A.Z Antibody

Histone H2A.Z Antibody [clone EOO-8] (RQ5092)

  Catalog No Formulation Size Price (USD)  
Image RQ5092 Antibody in PBS with 0.02% sodium azide, 50% glycerol and 0.4-0.5mg/ml BSA 100 ul 439
Microvalidated Rab Mono Image
Bulk quote request
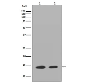
Western blot testing of 1) mouse Neuro-2a and 2) human HeLa cell lysate with Histone H2A.Z antibody. Predicted molecular weight ~14 kDa.
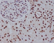
IHC staining of FFPE human kidney tissue with Histone H2A.Z antibody. HIER: boil tissue sections in pH6, 10mM citrate buffer, for 10-20 min and allow to cool before testing.
Availability 1-2 weeks
Species Reactivity Human, Mouse
Format Purified
Clonality Rabbit Monoclonal
Isotype Rabbit IgG
Clone Name EOO-8
Purity Affinity purified
UniProt P04908
Localization Nuclear
Applications Western Blot : 1:500-1:2000
Immunohistochemistry (FFPE) : 1:50-1:200
Limitations This Histone H2A.Z antibody is available for research use only.
Review this product on BioCompare and get a $20 Amazon gift card

Related Products

  • Applications : FACS, IF, IHC-P, WB
    Reactivity : Human, Mouse, Rat
    Recrabbitmono
  • Applications : WB, ELISA, ICC
    Reactivity : All Species
    Recrabbitmono
  • Applications : FACS, IF, IHC-P, WB
    Reactivity : Human, Mouse, Rat
    Citation  Citations(10)
  • Applications : IF, IHC-P, WB, FACS
    Reactivity : Human, Mouse, Rat
    Citation  Citations(2)
  • Applications : FACS, IF, IHC-P, WB
    Reactivity : Human, Mouse, Rat
    Citation  Citations(4)
  • Applications : IF, IHC-P, WB, FACS
    Reactivity : Human, Rat
  • Applications : IF, IHC-P
    Reactivity : Human, Rat
  • Applications : WB, ELISA
    Reactivity : Human
    Pred. Reactivity : Bovine, C. elegans, Chicken, Drosophila, Mouse, Pig, Rat, Xenopus, Zebrafish
  • Applications : WB, ELISA
    Reactivity : Human
  • Applications : WB, ELISA
    Reactivity : Human
    Pred. Reactivity : Bovine, C. elegans, Chicken, Drosophila, Mouse, Pig, Rat, Xenopus, Zebrafish
  • Applications : WB, ELISA
    Reactivity : Human, Mouse
    Pred. Reactivity : Rat, Bovine, Pig, Chicken, Zebrafish, Rabbit, Xenopus, Drosophila, C. elegans
  • Applications : WB, ELISA
    Reactivity : Mouse
    Pred. Reactivity : Bovine, Rat
  • Applications : DB, ELISA
    Reactivity : Human
  • Applications : WB, IHC, FACS, ELISA
    Reactivity : Human
  • Applications : IHC, FACS, WB, DB, ELISA
    Reactivity : Human
  • Applications : WB, ELISA
    Reactivity : Human, Mouse
  • Applications : FACS, IF, IHC-P, WB
    Reactivity : Human, Mouse, Rat

Description

Histones are basic nuclear proteins that are responsible for the nucleosome structure of the chromosomal fiber in eukaryotes. Histone H2AZ is a variant of histone H2A, and is used to mediate the thermosensory response, and is essential to perceive the ambient temperature. [Wiki]

Application Notes

Optimal dilution of the Histone H2A.Z antibody should be determined by the researcher.

Immunogen

A synthetic peptide specific to human Histone H2A.Z variant was used as the immunogen for the Histone H2A.Z antibody.

Storage

Store the Histone H2A.Z antibody at -20oC.

Cross
Bulk Quote Request Form
Name*:
Organization*:
Email*:
Phone Number*:
Catalog No.*:
Comments and Specifics(amount, formulation, etc.)*:
Validation code: Captchapackage Image


Can't read the image? click here to refresh.
    *required field

Your bulk quote request has been submitted successfully!

Please contact us if you have any questions.