• Tel: 858.663.9055
  • SeparatorEmail: info@nsjbio.com
  • Tel: 858.663.9055
  • Email: info@nsjbio.com
Home >> Antibodies >> Histone H2AX Antibody

Histone H2AX Antibody (RQ5283)

  Catalog No Formulation Size Price (USD)  
Image RQ5283 0.5mg/ml if reconstituted with 0.2ml sterile DI water 100 ug 439
Bulk quote request
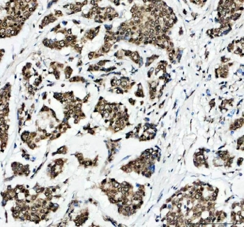
IHC staining of FFPE human breast cancer tissue with Histone H2AX antibody. HIER: boil tissue sections in pH8 EDTA for 20 min and allow to cool before testing.
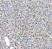
IHC staining of FFPE mouse liver tissue with Histone H2AX antibody. HIER: boil tissue sections in pH8 EDTA for 20 min and allow to cool before testing.
Western blot testing of 1) human HEL, 2) human PC-3, 3) human Caco-2, 4) rat PC-12, 5) rat C6 and 6) mouse NIH 3T3 cell lysate with Histone H2AX antibody. Predicted molecular weight ~15 kDa.
Flow cytometry testing of fixed and permeabilized human PC-3 cells with Histone H2AX antibody at 1ug/million cells (blocked with goat sera); Red=cells alone, Green=isotype control, Blue= Histone H2AX antibody.
Immunoprecipitation of Histone H2AX protein from 500ug of human 293T whole cell lysate with 2ug of Histone H2AX antibody.
Availability 1-3 business days
Species Reactivity Human, Mouse, Rat
Format Antigen affinity purified
Clonality Polyclonal (rabbit origin)
Isotype Rabbit IgG
Purity Affinity purified
Buffer Lyophilized from 1X PBS with 2% Trehalose
UniProt P16104
Applications Western Blot : 0.5-1ug/ml
Immunohistochemistry (FFPE) : 2-5ug/ml
Flow Cytometry : 1-3ug/million cells
Immunoprecipitation : 2ug/500ug of lysate
Direct ELISA : 0.1-0.5ug/ml
Limitations This Histone H2AX antibody is available for research use only.
Review this product on BioCompare and get a $20 Amazon gift card

Related Products

Description

H2A histone family member X (usually abbreviated as H2AX) is a type of histone protein from theH2A family encoded by the H2AFX gene. Histones are basic nuclear proteins that are responsible for the nucleosome structure of the chromosomal fiber in eukaryotes. Two molecules of each of the four core histones (H2A, H2B, H3, and H4) form an octamer, around which approximately 146 bp of DNA is wrapped in repeating units, called nucleosomes. The linker histone, H1, interacts with linker DNA between nucleosomes and functions in the compaction of chromatin into higher order structures. This gene encodes a replication-independent histone that is a member of the histone H2A family, and generates two transcripts through the use of the conserved stem-loop termination motif, and the polyA addition motif.

Application Notes

Optimal dilution of the Histone H2AX antibody should be determined by the researcher.

Immunogen

Amino acids S2-T121 from the human protein were used as the immunogen for the Histone H2AX antibody.

Storage

Store the Histone H2AX antibody at -20oC.

Cross
Bulk Quote Request Form
Name*:
Organization*:
Email*:
Phone Number*:
Catalog No.*:
Comments and Specifics(amount, formulation, etc.)*:
Validation code: Captchapackage Image


Can't read the image? click here to refresh.
    *required field

Your bulk quote request has been submitted successfully!

Please contact us if you have any questions.