• Tel: 858.663.9055
  • SeparatorEmail: info@nsjbio.com
  • Tel: 858.663.9055
  • Email: info@nsjbio.com
Home >> Antibodies >> Histone H1.0 Antibody

Histone H1.0 Antibody (RQ5613)

  Catalog No Formulation Size Price (USD)  
Image RQ5613 0.5mg/ml if reconstituted with 0.2ml sterile DI water 100 ug 439
Bulk quote request
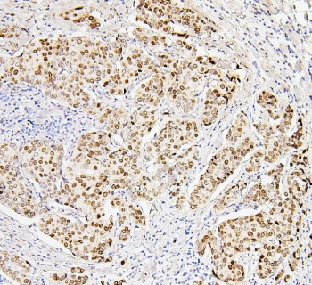
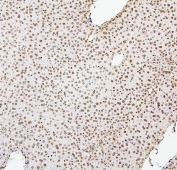
IHC staining of FFPE human breast cancer with Histone H1.0 antibody. HIER: boil tissue sections in pH6, 10mM citrate buffer, for 20 min and allow to cool before testing.
IHC staining of FFPE human breast cancer with Histone H1.0 antibody. HIER: boil tissue sections in pH6, 10mM citrate buffer, for 20 min and allow to cool before testing.
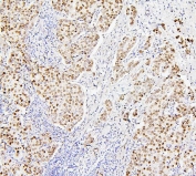
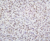
IHC staining of FFPE human lung cancer with Histone H1.0 antibody. HIER: boil tissue sections in pH6, 10mM citrate buffer, for 20 min and allow to cool before testing.
IHC staining of FFPE mouse liver with Histone H1.0 antibody. HIER: boil tissue sections in pH6, 10mM citrate buffer, for 20 min and allow to cool before testing.
IHC staining of FFPE mouse liver with Histone H1.0 antibody. HIER: boil tissue sections in pH6, 10mM citrate buffer, for 20 min and allow to cool before testing.
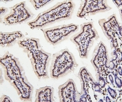
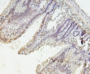
IHC staining of FFPE mouse small intestine with Histone H1.0 antibody. HIER: boil tissue sections in pH6, 10mM citrate buffer, for 20 min and allow to cool before testing.
IHC staining of FFPE mouse small intestine with Histone H1.0 antibody. HIER: boil tissue sections in pH6, 10mM citrate buffer, for 20 min and allow to cool before testing.
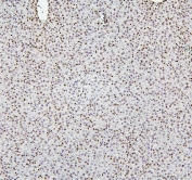
IHC staining of FFPE rat liver with Histone H1.0 antibody. HIER: boil tissue sections in pH6, 10mM citrate buffer, for 20 min and allow to cool before testing.
IHC staining of FFPE rat liver with Histone H1.0 antibody. HIER: boil tissue sections in pH6, 10mM citrate buffer, for 20 min and allow to cool before testing.
IHC staining of FFPE rat small intestine with Histone H1.0 antibody. HIER: boil tissue sections in pH6, 10mM citrate buffer, for 20 min and allow to cool before testing.
Western blot testing of human 1) U-2 OS, 2) PC-3, 3) Caco-2 and 4) HepG2 cell lysate with Histone H1.0 antibody. Predicted molecular weight ~20 kDa but can be observed at up to ~30 kDa.
Western blot testing of mouse 1) lung and 2) NIT 3T3 lysate with Histone H1.0 antibody. Predicted molecular weight ~20 kDa but can be observed at 27-30 kDa.
Availability 1-3 business days
Species Reactivity Human, Mouse, Rat
Format Antigen affinity purified
Clonality Polyclonal (rabbit origin)
Isotype Rabbit IgG
Purity Affinity purified
Buffer Lyophilized from 1X PBS with 2% Trehalose and 0.025% sodium azide
UniProt P07305
Localization Nuclear
Applications Western Blot : 0.25-0.5ug/ml
Immunohistochemistry (FFPE) : 1-2ug/ml
Direct ELISA : 0.1-0.5ug/ml
Limitations This Histone H1.0 antibody is available for research use only.
Review this product on BioCompare and get a $20 Amazon gift card

Related Products

Description

H1 histone family, member 0 is a member of the histone family of nuclear proteins which are a component of chromatin. In humans, this protein is encoded by the H1F0 gene. It is mapped to 22q13.1. Histones are basic nuclear proteins that are responsible for the nucleosome structure of the chromosomal fiber in eukaryotes. Nucleosomes consist of approximately 146 bp of DNA wrapped around a histone octamer composed of pairs of each of the four core histones (H2A, H2B, H3, and H4). The chromatin fiber is further compacted through the interaction of a linker histone, H1, with the DNA between the nucleosomes to form higher order chromatin structures. This gene is intronless and encodes a replication-independent histone that is a member of the histone H1 family.

Application Notes

Optimal dilution of the Histone H1.0 antibody should be determined by the researcher.

Immunogen

A human recombinant protein (amino acids K20-K159) was used as the immunogen for the Histone H1.0 antibody.

Storage

After reconstitution, the Histone H1.0 antibody can be stored for up to one month at 4oC. For long-term, aliquot and store at -20oC. Avoid repeated freezing and thawing.

Cross
Bulk Quote Request Form
Name*:
Organization*:
Email*:
Phone Number*:
Catalog No.*:
Comments and Specifics(amount, formulation, etc.)*:
Validation code: Captchapackage Image


Can't read the image? click here to refresh.
    *required field

Your bulk quote request has been submitted successfully!

Please contact us if you have any questions.