• Tel: 858.663.9055
  • SeparatorEmail: info@nsjbio.com
  • Tel: 858.663.9055
  • Email: info@nsjbio.com
Home >> Antibodies >> Histone deacetylase 1 Antibody / HDAC1

Histone deacetylase 1 Antibody / HDAC1 (RQ7277)

  Catalog No Formulation Size Price (USD)  
Image RQ7277 0.5mg/ml if reconstituted with 0.2ml sterile DI water 100 ug 439
Bulk quote request
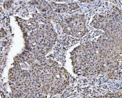
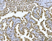
IHC staining of FFPE human tonsil tissue with Histone deacetylase 1 antibody. HIER: boil tissue sections in pH8 EDTA for 20 min and allow to cool before testing.
IHC staining of FFPE human lung cancer tissue with Histone deacetylase 1 antibody. HIER: boil tissue sections in pH8 EDTA for 20 min and allow to cool before testing.
IHC staining of FFPE human esophageal squamous carcinoma tissue with Histone deacetylase 1 antibody. HIER: boil tissue sections in pH8 EDTA for 20 min and allow to cool before testing.
Western blot testing of human 1) MOLT4, 2) Jurkat, 3) HL60 and 4) U-251 cell lysate with Histone deacetylase 1 antibody. Predicted molecular weight 55~60 kDa.
Flow cytometry testing of human MCF7 cells with Histone deacetylase 1 antibody at 1ug/million cells (blocked with goat sera); Red=cells alone, Green=isotype control, Blue= Histone deacetylase 1 antibody.
Availability 1-3 business days
Species Reactivity Human
Format Antigen affinity purified
Clonality Polyclonal (rabbit origin)
Isotype Rabbit IgG
Purity Antigen affinity purified
Buffer Lyophilized from 1X PBS with 2% Trehalose
UniProt Q13547
Localization Nuclear
Applications Western Blot : 0.5-1ug/ml
Immunohistochemistry (FFPE) : 2-5ug/ml
Flow Cytometry : 1-3ug/million cells
Limitations This Histone deacetylase 1 antibody is available for research use only.
Review this product on BioCompare and get a $20 Amazon gift card

Related Products

  • Applications : WB, ELISA
    Reactivity : Human
  • Applications : ELISA, FACS, IF
    Reactivity : Human
  • Applications : IF, WB, ELISA
    Reactivity : Human, Mouse, Rat
  • Applications : IF, WB, ELISA
    Reactivity : Human, Mouse, Rat
  • Applications : WB, IF, ELISA
    Reactivity : Human, Mouse
    Pred. Reactivity : Mouse
  • Applications : WB, ELISA (peptide)
    Reactivity : Human, Mouse
    Pred. Reactivity : Rat, Dog
  • Applications : WB, ELISA (peptide)
    Reactivity : Human, Mouse, Rat
    Pred. Reactivity : Cow, Pig
  • Applications : IHC-P
    Reactivity : Zebrafish

Description

Histone deacetylase 1 is an enzyme that in humans is encoded by the HDAC1 gene. Histone acetylation and deacetylation, catalyzed by multisubunit complexes, play a key role in the regulation of eukaryotic gene expression. The protein encoded by this gene belongs to the histone deacetylase/acuc/apha family and is a component of the histone deacetylase complex. It also interacts with retinoblastoma tumor-suppressor protein and this complex is a key element in the control of cell proliferation and differentiation. Together with metastasis-associated protein-2, it deacetylates p53 and modulates its effect on cell growth and apoptosis. Furukawa et al.(1996) mapped RPD3L1 to 1p34.1 by fluorescence in situ hybridization.

Application Notes

Optimal dilution of the Histone deacetylase 1 antibody should be determined by the researcher.

Immunogen

Amino acids DDESYEAIFKPVMSKVMEMFQ were used as the immunogen for the Histone deacetylase 1 antibody.

Storage

After reconstitution, the Histone deacetylase 1 antibody can be stored for up to one month at 4oC. For long-term, aliquot and store at -20oC. Avoid repeated freezing and thawing.

Cross
Bulk Quote Request Form
Name*:
Organization*:
Email*:
Phone Number*:
Catalog No.*:
Comments and Specifics(amount, formulation, etc.)*:
Validation code: Captchapackage Image


Can't read the image? click here to refresh.
    *required field

Your bulk quote request has been submitted successfully!

Please contact us if you have any questions.